dadblk3 madblk3
adblk3
adblk3
中國
出版:2022-Sep-01 19:47
更新:2022-Sep-01 19:47

內臟位置全相反!廣西「鏡面人」身患巨大血管瘤 機率僅千萬分之一

分享:
「鏡面人」的內臟位置與正常人完全相反。(互聯網)

「鏡面人」的內臟位置與正常人完全相反。(互聯網)

adblk4

電影或劇集不時有「主角被一槍擊中心臟但因心臟生在右邊而大難不死」的「狗血情節」,而現實生活中確有人一群被稱為「鏡面人」的特殊人士,五臟六腑全部與正常人「相反」,就像照鏡一樣。廣西南寧近日就發現一位極為罕見的「鏡面人」,而且身患巨大肝血管瘤。當地醫生指,兩症出時出現的機率僅得千萬分之一。

廣西《南國早報》報道,南寧盧女士近日因上腹不適,到廣西醫科大學附屬武鳴醫院求醫。醫生檢查後發現,盧女士不僅生了一個巨大血管瘤,內臟更與正常人相反。

adblk5

血管瘤+「鏡面人」 手術難度極高

醫生指,盧女士的血管瘤已佔據其整個右肝,必須做手術,惟手術風險甚高,因為血管瘤一旦在手術期間破裂,止血異常困難,恐危及性命,而且相反的器官極大增加手術難度,國內外都罕有記載這種疑難手術個案。

盧女士的血管瘤最終在5個小時手術後成功切除,體積達15x14x12厘米。報道指,目前盧女士恢復情況良好,已經出院。

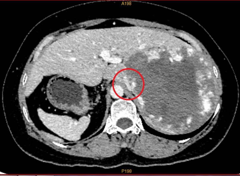
盧女士腹腔內臟完全相反,胃、脾在右邊,右肝在左邊,紅圈的下腔靜脈已被巨大血管瘤壓迫包繞。(互聯網)

盧女士腹腔內臟完全相反,胃、脾在右邊,右肝在左邊,紅圈的下腔靜脈已被巨大血管瘤壓迫包繞。(互聯網)

「鏡面人」發病率約百萬分之一

該醫院肝膽外科主任黃海介紹,「鏡面人」是「完全性胸腹腔內臟器反位(SIT)」的俗稱,是罕見的先天性畸形,發病率約為百萬分之一,同時患有巨大肝血管瘤的機率僅千萬分之一。

adblk6

黃海又指,內臟反位通常不影響健康,但一旦患病,就會為治療、特別是手術治療帶來巨大障礙。他呼籲民眾對自己身體狀況要有基本認知,若有如「鏡面人」這樣特殊的生理結構,要明確告知身邊人,去醫院就診時要及時告知醫生,以免發生誤診。

ADVERTISEMENT

ad

恭喜你!獲取1分 !

更多積分任務