一般人或者以為俗稱「箍牙」的牙齒矯正只是為了貪靚,過程只是「移動」牙齒這麼簡單,或因此會上網光顧自助/半自助式隱形牙箍,自行箍牙。香港大學牙醫學院矯齒學名譽臨床助理教授、牙齒矯正科專科醫生楊日昌認為,箍牙若沒有經過牙醫的診斷和跟進,或帶來不可逆轉的後果,得不償失。
楊日昌指出,矯齒的目的不只為了牙齒美觀,更包括改善面部和牙齒外觀、矯正咬合的偏差、矯正牙齒錯位,以及利用矯正器治療,或結合頜面外科手術治療,矯正骨骼和面部的不勻稱。
楊日昌指牙齒的移動未必符合預期計劃,故必須有牙醫跟進。
改善面形笑容
楊日昌簡介幾個個案,「如果小朋友出現哨牙或倒及牙,可利用各種儀器去做生長引導,包括誘導或限制上下顎的生長,從而令面形變得平衡,咬合也得到改善。成年人方面,雖無法再做生長誘導,但可使用骨釘和固定箍,做到一定程度的改善。又例如雙顎前突和露齦笑(笑的時候露出太多牙肉),都可以透過脫牙、骨釘和固定箍等,改善牙齒位置、笑容的弧度,以至整個面形。」
診斷監察同樣重要
由於箍牙過程複雜,楊日昌認為每個個案都要做詳細的計劃,由評估、診斷、使用甚麼儀器和工具,到過程的監察和修正都十分重要,「例如使用骨釘移動牙齒,當中涉及生物力學,因為重心在於牙槽骨和牙根,故要牙齒平衡地移動,就要經過一些計算;實行前也會照X光、3D電腦掃描等,看看牙根長短和牙槽骨的厚度,以確保計劃可行;牙齒移動的過程亦要監察是否符合預期,如有偏差該如何糾正,全部加起來才可以順利完成箍牙。」
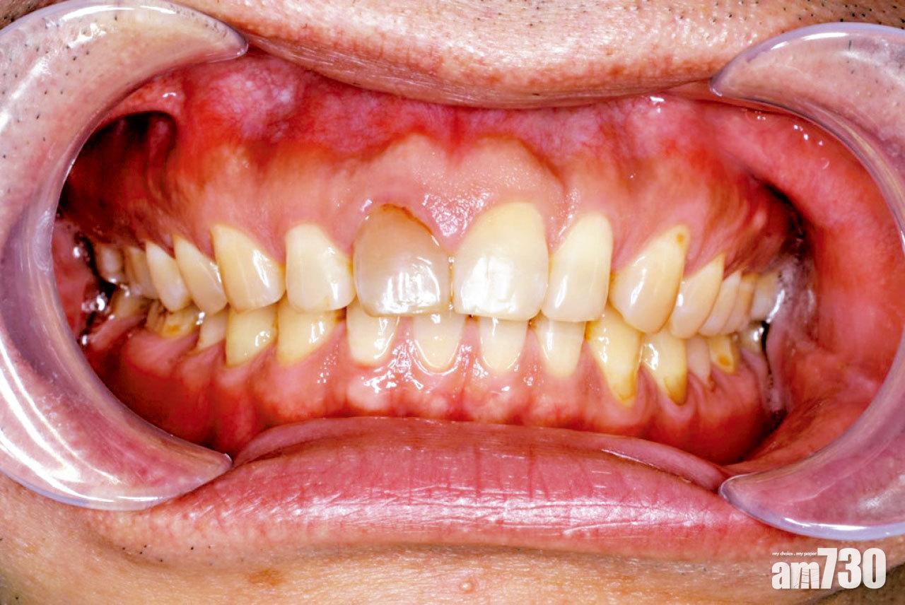
使用全自助隱形牙箍,有牙齒壞死的風險。
自行印模準確度參差
反觀自助式/半自助隱型牙箍,部分會依靠用家自己拍照,並自行印製牙模,或親身上該公司掃描牙齒。然後會有3D模擬解說如何排齊牙齒,最後用家就會收到隱形牙箍,並依照指示使用,部分公司或會定期拍照跟進情況。不過楊日昌表示當中存在不少風險,「先不說沒有完整改善面形的計劃,以及事先沒有處理牙周病等口腔問題;在牙齒拍攝部分,有一些角度不是自己可以輕易拍到的,減低評估準確度,也難以判斷牙齒可以移動的幅度;再者,自己在家做牙模便很容易有誤差,牙箍成品亦未必準確。」
潛在風險多
楊日昌續指,使用隱形牙箍時,牙醫會因應需要加入附件,增加「扶手」位置助移動牙齒,又或者將牙推後、磨細、脫牙等,「如沒有牙醫的話,以上東西都做不到,令箍牙的效果打了折扣;不過最重要的是,有牙醫緊密監察的話,萬一有問題發生可以及早發現及早處理,如果沒有牙醫,就容易令問題發展至愈來愈差。會遇到的問題包括牙箍不適合或不貼合、後牙開咬,較嚴重的可能會有牙槽骨吸收、牙根露出,甚至牙齒壞死。要解決這些嚴重問題,往往需要數個牙醫專科處理,而且未必可回復最初樣子,實在得不償失。」









