不少玩具或文儀用品都有磁石做配件,故此不時有小朋友因為意外或貪玩而吞磁石入肚。以為此舉是小問題?千萬不要看輕磁石的磁場和腐蝕性破壞,美國有男孩吞下磁石後出現劇烈肚痛,檢查發現原來所吞下的小磁石已經嵌入大腸壁,並且令附近組腐爛,幸及時發現及處理,否則後果難以想像。
不知何時吞下 腸壁現破孔
美國賓夕凡尼亞州的醫生最近在《BMJ Case Reports》報告如何為一名男孩找出及處理吞下的小磁石。該名男孩因為肚痛而到急症室求醫,結果發現其胃內有一些鐵製物件,而男孩則稱不知為何或何時吞下這些物件。
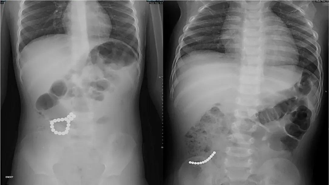
醫生為該名男孩照X光及電腦掃描,結果發現多件異物,於是首先以手術取出已嵌入胃壁的3粒異物,並確認為磁石。然後醫生再在大腸位置發現3粒磁石,且已令腸道出現腐爛。進一步檢查再發現另外有15粒磁石分布在大腸及小腸不同位置,大部分都需要以手術移除,而且部分腸壁已有破孔。
X光下發現體內多件異物。
嚴重感染可致命
治療男孩的小組指出,吞下磁石是危險之舉,可以對消化道造成嚴重破壞,包括嵌入腸壁及導致組織腐爛。今次男孩算相當幸運,可以及時送院及治療,否則到胃或腸壁被蝕穿,胃酸、食物或糞便等物質流出,可以造成嚴重感染及致命。









