便秘除了令人感到不適外,亦有機會令人有口氣和長痔瘡,長期下去甚至有機會令腸道長出「氣泡」!當腸內持續受壓,腸道較薄弱的地方便會形成如氣泡般的憩室。外科專科甘明豪醫生稱:「憩室症患者不一定有病徵,但當憩室受感染發炎時,憩室炎或會導致患者腹痛或發燒。」如患者病情危急,已出現腸穿孔或化膿等問題,便需要接受手術作治療。
憩室炎或併發腸穿孔 需施緊急手術
腸臟由多層組織如黏膜、肌肉層和漿膜所構成,當腸內壓力增加,內壁或黏膜便有機會被推到肌肉層外,形成憩室。憩室症患者或沒有病徵,但當憩室發炎時,則會出現腹痛或發燒等症狀。
憩室炎分為緊急和慢性兩類,治療方案亦有分別。甘醫生表示:「緊急但情況輕微的患者可接受保守治療,如體外引流或注射抗生素;若患者病情危急,已出現腸穿孔或腹腔積膿,便可能需要進行緊急手術。」至於會重覆發炎即慢性憩室炎患者,一般建議在康復後接受大腸鏡檢查,以排除其他疾病,後續或需進行手術作根治性治療。
當腸道持續受壓,較薄弱的地方便會形成憩室(黃色箭嘴位置)。
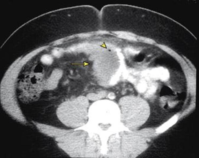
圖為憩室炎患者腹部電腦掃描圖片,情況嚴重者可引致膿瘡。
病情嚴重應採用開腹手術 惟住院時間較長
如患者需接受手術治療,也有傳統開腹手術和微創手術之分,主要取決於患者的身體狀況和病情嚴重程度。若患者病情相對穩定,只是對保守治療如注射抗生素等無效,可選擇接受微創手術。如果患者的憩室炎不斷復發,也可接受微創手術以切除受影響的腸道。
甘醫生亦提到:「如患者情況已嚴重至腸穿孔或積膿,甚至敗血病,因情況危急,需要與時間競賽,便應進行傳統開腹手術。」不過,開腹手術傷口較大,或會較易發炎,亦容易出現心肺功能併發症,患者可能需較長的住院時間。
進行微創手術復原較快 亦適用於較複雜病情
選擇微創手術的患者需進行全身麻醉,醫生會在肚臍的切口放入腹腔鏡,先觀察患者腸臟情況,再經其餘3至4個5至12毫米的切口放入儀器,切除受影響的腸臟。如患者適合即時完成大腸重建術,醫生便會用手術釘裝槍接合起兩邊大腸。甘醫生指出:「微創手術與傳統開腹手術的成效沒有分別,但微創手術因切口小,患者術後痛楚亦較少,能更快復原,可縮短住院時間。」
一名年約60歲的患者,在兩個月內因憩室炎而兩度求醫,兩次皆需要注射抗生素控制炎症。惟事隔數月,他再因左腹痛而緊急入院,但病情已演變至需動刀治療。患者的炎症由腹部正中間的橫結腸,延至左腹降結腸,施行微創手術有一定難度。最後醫生透過微創手術,成功將患者部分腸臟與其他器官如胰臟、脾臟、下腹盆腔等分離,並切除有憩室的大腸,再接駁好健康的腸道。雖然是次手術耗費較多時間,不過患者復原情況良好,約5天便能出院,減少了對生活的影響,術後亦再沒有因為憩室而出現腹痛的情況。
以上資訊由甘明豪醫生提供
Johnson & Johnson全力支持
外科專科甘明豪醫生









