dadblk3 madblk3
adblk3
adblk3
健康
出版:2024-Jun-23 08:00
更新:2024-Jun-23 08:00

牙痛到不能睡覺? 詳解杜牙根方法及術後處理

分享:
杜牙根一定痛?有沒有後遺症?

杜牙根一定痛?有沒有後遺症?

adblk4

杜牙根是甚麼?有何作用?

病人牙痛去看牙醫,如果牙齒蛀得嚴重,很多時醫生會說:「一係杜牙根救返隻牙,一係把牙脫掉。」究竟甚麼是杜牙根呢?

杜牙根,它亦叫做牙髓/根管治療。簡單來說杜牙根是把部分或全部受感染或壞死的牙髓組織清除,然後把牙髓填封。

甚麼情況下需要杜牙根? 牙痛就一定要杜?

牙痛不一定要杜牙根。決定是否需要杜牙根,首先需確定牙齒的神經狀態,是可逆性牙髓炎,還是不可逆性的牙髓炎,抑或是壞死。顧名思義,可逆性牙髓炎是指牙神經可以自行康復的情況,將造成發炎的原因去除之後,牙髓發炎的情況會自然好轉;而不可逆性的牙髓炎就不能單靠身體自己復元,需要進行杜牙根治療,把部分或全部受感染或壞死的牙髓組織清除。臨床上,醫生會透過症狀和測試,去決定牙髓狀態。

adblk5

患有不可逆性牙髓炎的牙齒可能有以下症狀:

  • 牙齒對冷熱刺激感到非常酸軟
  • 停止刺激半分鐘後,牙齒還感到痛楚
  • 牙痛到不能入睡或痛醒
  • 咀嚼東西時牙齒感到酸軟

牙醫會檢查牙齒,例如進行冷熱刺激測試,輕力敲擊牙齒,以及替患者的牙齒拍 X 光片,以確定牙齒是否有問題。

不同測試牙髓狀態的方法

不同測試牙髓狀態的方法

擔心杜牙根的過程很痛?

在開始根管治療前,醫生會向患者注射麻醉藥,使患者在治療過程中不會感到痛楚。不過在極少數情況下,假如患者牙齒本身的發炎情況已十分嚴重,杜牙根仍有機會令病人感到非常痛楚,這個情況稱之為「Hot Tooth」。「Hot Tooth」的牙齒會令麻醉藥效力降低,可能需要再補加麻醉藥,甚至需要患者先服藥來控制發炎。

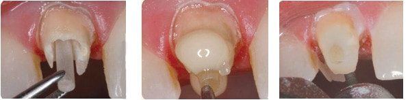
杜牙根的程序及次數

牙齒會先被麻醉,確保治療進行中患者不會感到痛楚。醫生會選用合適的工具移除牙齒已蛀部分,以及發炎及受感染的牙髓, 然後將根管擴大及用藥水沖洗根管,將細菌清除。然後,醫生會採用一種名為Gutta-percha的樹脂物料,用以封閉牙根,避免口腔內的口水細菌接觸到牙齒,而使牙齒內部再次受到感染。

adblk6

一般而言,上述的杜牙根程序需要一至三次,視乎牙齒本身的發炎狀態,以及醫生經驗等因素。 

完成杜牙根治療後必須用牙套?

在進行根管過程中,牙齒會被削弱,因此很多時候牙齒需要補上牙套以作保護,避免它再受損害,甚至爆裂。牙套亦可以讓已完成治療的牙齒的形狀和顏色更為美觀。不過亦有情況不需要用牙套,例如牙齒只是輕度蛀牙,或者沒有咬合(對面沒有牙齒)。實際情況仍需由牙醫臨床決定。

杜牙根後遺症

雖然杜牙根的成功率很高(約80-90%),但是沒有治療是可以保證百份之百成功,成效亦因人而異。少部分患者完成杜牙根療程後,仍然出現痛楚、牙瘡,甚或發炎,而且在 X 光片中顯示牙腳周邊出現陰影。這樣代表治療很大機會已告失敗。最常見導致失敗的原因包括根管重新受感染,或者是牙齒裂開。

adblk7

如果遇到上述情況,因為重新杜牙根的治療較困難及複雜,所以個案通常會被轉介到牙髓科的專科醫生負責處理。

杜牙根治療價錢昂貴?

市面上杜牙根的收費(每隻牙齒)介乎3,500至7,500港元不等,診所的基本收費會根據牙齒的位置及複雜程度等因素來決定。另外,如果牙齒蛀爛得較為嚴重,支撐能力不足,醫生便需要為該顆牙齒放置牙柱,以增加承托力。

至於牙套收費,則視乎材質不同而有較大的差距,患者可依照個人需要作選擇。市面上主要有全瓷冠、金屬烤瓷牙、全金屬 3 種,價格由4,500至$10,000港元不等。

adblk8

不同種類的牙套

杜牙根有什麼需要注意

杜牙根前

建議患者在杜牙根前先向牙醫了解該牙齒治療的過程和風險,告知醫生自己有否對藥物敏感和個人的憂慮,讓醫生可以更有效制定治療方案。另外,每間診所的杜牙根療程收費不一,以免出現預期之外的情況與費用,患者應先向診所進行詳細諮詢。

杜牙根後

牙齒抗折能力降低(尤其是隱裂牙),容易令牙齒爆裂,導致需要拔牙。建議避免使用患牙來咀嚼硬物,並按需要及時訂做牙套。另外,治療後身體需要時間進行修復適應,短期內會有部分患者感覺牙齒不適,這種情況隨時間多數會消退。如果變得嚴重,就需要再找牙科醫生檢查。

adblk9

本文獲Bowtie 保泰人壽授權轉

ADVERTISEMENT

立即更新 /下載AM730手機APP 體驗升級功能

ad

恭喜你!獲取1分 !

更多積分任務