縱使疫情令不少中外馬拉松賽事改以線上跑Virtual Run形式舉行,一眾跑步愛好者仍無損鬥志,如常一早開始積極備戰。不過一旦過度操練,容易令骨骼反覆受傷卻未能及時修復,而造成疲勞性骨折,以致需要時間康復而影響進度,甚至趕不及參賽。因此,跑步者們切勿操之過急,以免得不償失。
沙惠良指疲勞性骨折是由日積月累的損傷「慢慢儲回來」。
疲勞性骨折又稱行軍性骨折,源於軍人因長時間反覆步操及跑步鍛煉,令骨骼過勞致折斷而得名。除軍人外,不少操練過勤的長跑手或跑步愛好者,也易成高危族。香港港安醫院——荃灣骨科顧問醫生沙惠良表示,疲勞性骨折是由日積月累的損傷「慢慢儲回來」,當訓練的強度和頻度超出了運動者骨骼所能承受的上限,而其骨骼的復原速度又追不上損傷頻度時,就會隨時間而演變成慢性骨折。
長時間過勞
有別於創傷性骨折因突發的外力撞擊引起,疲勞性骨折由於骨頭長期承受不了壓力所導致,患者不會認知及感受到受傷經過而即時有痛楚的症狀,反而大多是初期只在操練後感到疼痛,並誤以為只是疲勞或肌肉痛,到後期變成每次一跑就痛,卻仍找不出原因。
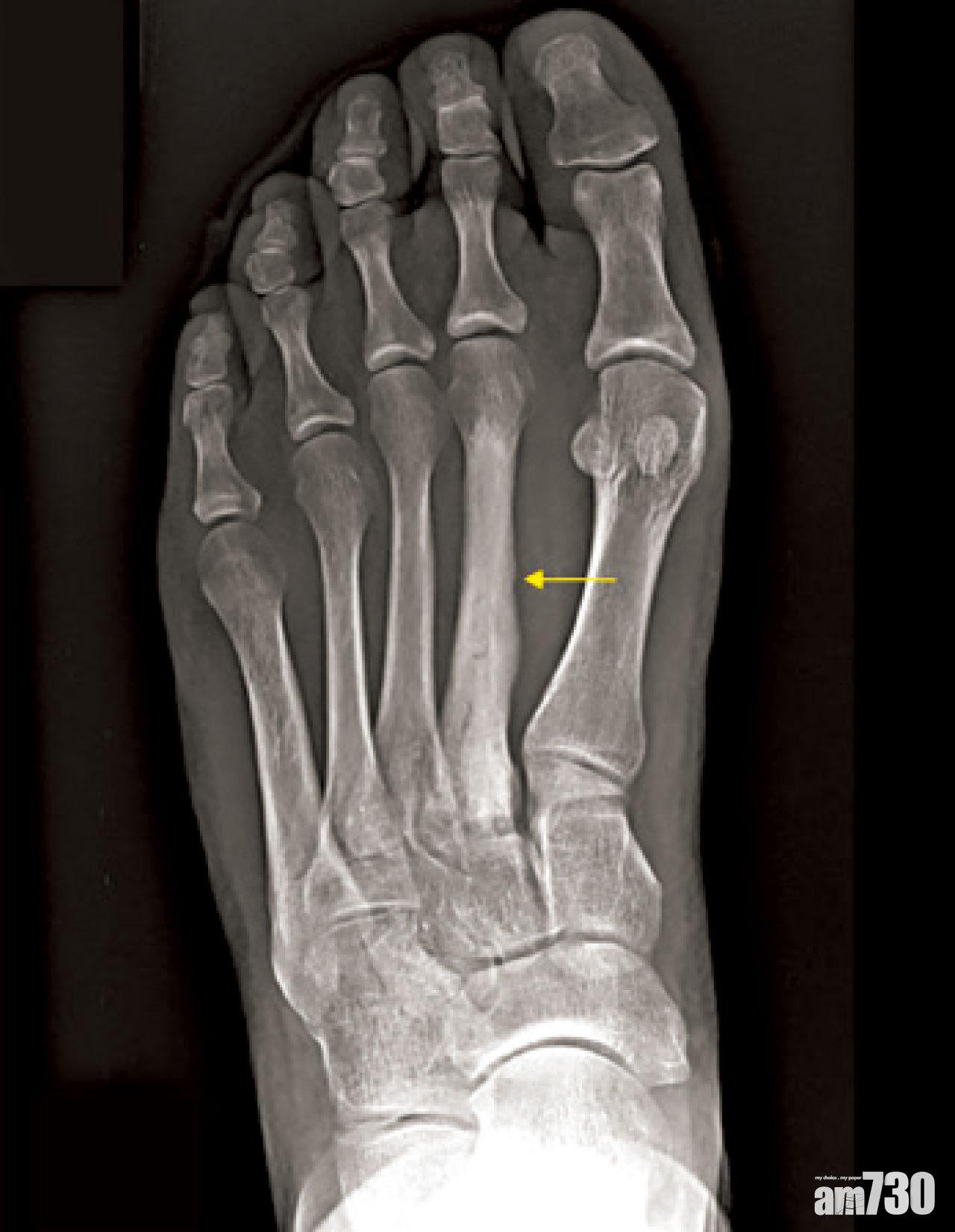
臨床上,疲勞性骨折多發於承受體重的骨幹,包括大腿骨、脛骨、腓骨及蹠骨。跑手的疲勞性骨折,常見於腳前掌的第二及第三蹠骨近腳趾頭位置,這是由於跑步時,須重複以腳掌落地的緣故;其次是見於大腿骨及小腿的脛骨,患者多為長跑運動員。沙惠良同時提醒市民,若穿上不慣常著的鞋履長時間走路,亦有可能導致小腿的腓骨出現疲勞性骨折。
疲勞性骨折常見於第二及第三蹠骨。
骨掃描磁振助確診
初期的疲勞性骨折,即使照X光亦難以察覺,不少個案是病情到了中至後期,再照X光時才發現骨骼曾因為反覆受傷而造成「生厚咗」的狀況。現時,醫生會先了解患者的生活和運動習慣,如懷疑患的是疲勞性骨折,就算是早期,也會安排患者接受骨掃描或磁力共振以加快確診,減低惡化風險。
腳箍助固定患處
早期的疲勞性骨折會採用保守治療,包括:休息6至8個星期讓骨裂位置自行愈合、服用止痛藥、有需要時打石膏或戴腳箍助固定患處,以及做物理治療助回復下肢靈活度。但如發現患處完全折斷或甚至明顯移位,就需要做手術,例如接受置入髓內釘的微創手術。
以跑步作休閒輕鬆活動通常不易造成疲勞性骨折,如需要加強訓練,最好跟隨專業教練指導,學習正確訓練方法和姿勢。只要循序漸進,不讓骨骼過勞,就可助預防疲勞性骨折。









