dadblk3 madblk3
adblk3
adblk3
國際
出版:2023-Jan-30 11:56
更新:2023-Jan-30 11:56

34歲壯男一個原因吞「安全套香蕉」 創全球首例

分享:
「安全套香蕉」塞在男子的腸道(右圖紅圈示)。(互聯網)

「安全套香蕉」塞在男子的腸道(右圖紅圈示)。(互聯網)

adblk4

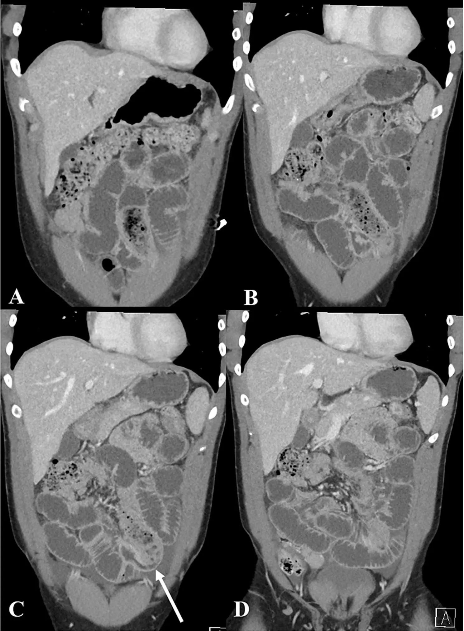
美國醫學期刊《Cureus》近日發表一宗腸道阻塞的罕見病例,一名34歲健康男子因腹部疼痛、噁心、嘔吐,24小時沒法進食或喝液體,腸道也沒蠕動,遂往急症室求醫。有情緒病史的他對醫護表示,因「荷爾蒙旺盛」(hormonal rage),他吞下塞在安全套的香蕉。

安全套內的香蕉已發黑變形。(互聯網)

安全套內的香蕉已發黑變形。(互聯網)

男子手術後6個月完全康復

醫生替男子進行電腦掃描檢查後發現,其小腸內有長條狀異物,且嚴重阻塞腸道。醫生隨後動手術將異物取出,可見安全套內的香蕉已發黑,且看不出原型。

男子接受觀察3天後出院,手術後兩周可進食低纖食物,腸臟正常蠕動,腹痛受控,手術後6個月腸道恢復正常功能,亦回復本來的飲食和生活習慣。

adblk5

報告指,這是有紀錄的吞食塞在安全套香蕉的全球首例。

男子腸道的電腦掃描影像。(互聯網)

男子腸道的電腦掃描影像。(互聯網)

ADVERTISEMENT

立即更新 /下載AM730手機APP 體驗升級功能

ad

dadblk6 madblk6

恭喜你!獲取1分 !

更多積分任務