dadblk3 madblk3
adblk3
adblk3
國際
出版:2023-Oct-06 15:49
更新:2023-Oct-06 15:49

令人心寒|俄八旬婦腦藏3厘米長針 父母竟是疑兇 醫生揭恐怖原因

分享:
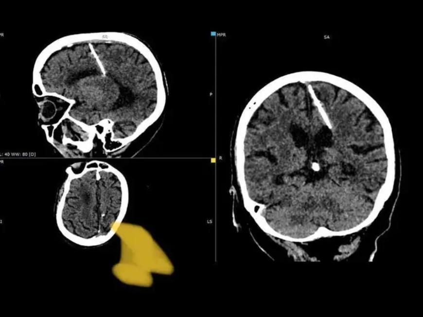
俄八旬婦腦藏3厘米長針,父母竟是疑兇,醫生揭恐怖原因。(Telegram)

俄八旬婦腦藏3厘米長針,父母竟是疑兇,醫生揭恐怖原因。(Telegram)

adblk4

俄羅斯庫頁島衞生部近日發文,指一名80歲婦人在做健康檢查時,意外發現腦部竟有一支3厘米長的針,醫生推斷這名婦人的父母當年曾試圖謀殺她。原來,第二次世界大戰期間,前蘇聯因為面臨糧食嚴重不足,許多家庭陷入極度貧困和飢餓窘境,許多家庭無力撫養孩子,便透過各種手法殺害新生兒,可見戰爭帶來的可怕及沉重的代價。

綜合報道,庫頁島衞生部周三(4)在社交媒體Telegram發文表示,這名80歲婦女進行腦部X光檢查時,發現大腦左頂葉裡有一支3厘米長的針,幾乎貫穿半個大腦。報道引述醫生指出,該名婦人居於俄羅斯遠東地區,目前仍在接受觀察,那支針亦沒有對她造成任何頭痛或不適,由於因擔心手術會造成婦人健康惡化,因此決定不進行手術將針取出。

adblk5

第二次世界大戰期間,前蘇聯發生大饑荒。(網上圖片)

第二次世界大戰期間,前蘇聯發生大饑荒。(網上圖片)

醫生:父母殺嬰在饑荒年代相當普遍

據官員表示,這支針從女子出生起就一直藏在腦中,事實上,這是第二次大戰期間,前蘇聯常見的「殺嬰手法」,官員指出,當時正處飢荒年代,有些父母因為沒有糧食養育下一代,因此會將針插進新生兒還未閉合的頭頂囟門,當頭頂囟門閉合後就看不見異物,嬰兒也會死亡,「這種情形在饑荒年代相當普遍」。醫師亦認為,婦人的雙親當初沒有能力撫養她,於是在她還是嬰兒時期就試圖殺害她,將針貫穿她的左頂葉,詎料結果不似預期,婦人得以活下來。

ADVERTISEMENT

立即更新 /下載AM730手機APP 體驗升級功能

ad

恭喜你!獲取1分 !

更多積分任務