無良牙醫植牙插穿顎骨,病人被丟醫院險送命。(網上圖片)
土耳其日前發生一宗駭人的醫療事故,一名男子前往牙科診所植牙,詎料牙醫疑似用力過猛,將螺絲釘直接插穿其顎骨,讓他痛得當場大叫,牙醫需然立即將他送到醫院搶救,但轉頭部走,拒絕退款或賠償,事主因此決定提告。
綜合報道,土耳其40歲男子Ramazan Yılmaz因為牙痛到牙科診所睇病,牙醫聲稱他有一隻牙齒鬆動需要拔除,建議用植牙的方式替補,Ramazan Yılmaz透露,在手術的過程中,他感覺到牙醫似乎太過用力,並提到好像聽到「骨頭碎裂」的聲音,對方表示是正常,沒多久螺絲就穿破顎骨,令Ramazan Yılmaz疼痛慘叫。
牙醫拒退款和賠償 事主決定提控
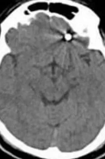
牙醫立刻將Ramazan Yılmaz送去當地一間醫院,但隨即離開,醫護人員馬上幫他進行斷層掃描,發現螺絲釘竟然進入Ramazan Yılmaz眼睛後方的大腦以及脊髓液所在的區域,需要立即進行手術。但手術前醫生亦警告Ramazan Yılmaz,他可能因此失去生命,他便趁機跟子女和好。歷經數小時的手術,醫生從他的大腦取出那口螺絲,至今已經康復出院。事後,Ramazan Yılmaz要求為他植牙的牙醫退還植牙費及賠償醫療費,牙醫則指,事件是「醫療併發症」所導致,表明不會退款和賠償,Ramazan Yılmaz無法接受,決定對牙醫提出訴訟。













