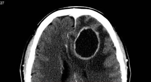
醫生公布老婦的檢查影像,顯示她患上腦部膿瘍。(互聯網)
泰國一名醫生警告,若不理會蛀牙,可能會受細菌感染而引發腦部膿瘍(brain abscess,腦部發生化膿性感染)。一名老婦因為四肢無力等症狀前去求醫,醫生初步懷疑是中風,但經過X光檢查,才發現她腦部有一處巨大的膿瘍,超因是她滿口蛀牙。
四肢無力症狀與中風不同
泰媒khaosod報道,清邁大學醫學院神經學專家蘇拉特(Surat Tanprawet)在Facebook發文分享這個案例,指老婦四肢無力並非中風所致,因為症狀是逐漸惡化,慢慢開始無力,而非突然感覺無力。醫療團隊為老婦進一步檢查後發現,她的口腔裡有多隻嚴重蛀牙,但從未接受過適當治療。
甚麼是腦膿瘍?
老婦表示,多年來都是等蛀牙自行脫落,不會去看牙醫。但滿口蛀牙正是導致她細菌感染,最終入侵腦部,形成腦膿瘍。
醫生指出,腦膿瘍是一種由細菌或真菌感染引發的嚴重病症,會導致腦部發炎化膿,在腦組織內形成潰瘍和膿液,可能會造成神經系統異常。若不及時治療而終致膿瘍破裂,恐會致命。
醫生指,這種腦部感染可能源自頭部外傷或身體其他部位的感染,細菌或真菌透過血液擴散至腦部,而蛀牙是常見的感染源頭。











