向太浴室跣倒,送院完成5.5小時手術。
一向以霸氣見稱的「向太」陳嵐 ,昨日(26日)在社交平台分享短片,透露自己日前於家中浴室跣到,她表示大叫半小時都沒人發現,後來送院檢查後發現大腿骨斷裂,並進行5.5小時的手術,她苦呻:「我明明很善良,可世間疾苦一樣都沒放過我。」
片中見向太躺在擔架抬上,由救護車送到醫院,她表示前幾日在浴室沖涼時,在沒有防滑墊的地方摔倒,當時整個人都懵的,痛到站不起來,但由於浴室門是關着的,她大嗌救命半小時才有人聽到,當時家人想打999叫救護車,但向太擔心救護車的聲音會引起報道和不實猜測,為了不佔用公共資源,向太當晚在浴室一直沒有動,直至第二天早上才叫私人醫生來看,而向生則一直在旁守護著她。
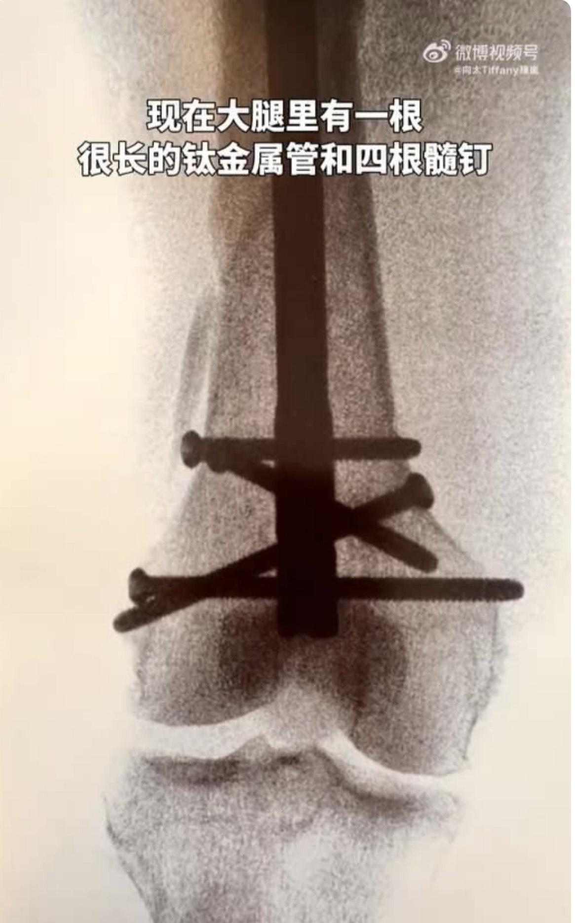
向太續透露,入院檢查後發現是大腿骨斷裂,進行微創手術從晚上10點開始,直至第二日凌晨3點半才結束,手術足足做了5.5小時;向太直言回到病房1小時後又開始痛,打了兩次止痛針,整晚只睡了1小時,但整個過程她卻非常勇敢,沒有流一滴眼淚。向太表示現時大腿有1根很長的鈦金屬管和4根髓釘,並自嘲是「鋼鐵女俠」。
為了早點康復,向太動完手術後的第一天就開始下床練習走路,連醫生都嚇親,她表示每天也練習起碼1小時,雖然痛,但希望在黃金時期努力康復:「我覺得這次人生終極目標一定要達到,要恢復正常,有點小挫折無所謂,要笑對挫折,笑對人生。」 向太亦有在帖文提醒大家,「意外總是發生意想不到的時間!及你最熟悉的地方。所以希望大家都要小心謹慎!那麼幸福也是會意外的到來啊!」









