dadblk3 madblk3
adblk3
adblk3
本地
出版:2019-Dec-05 20:30
更新:2019-Dec-05 20:30
日報

首宗案例 吸電子煙患重金屬塵肺病

分享:
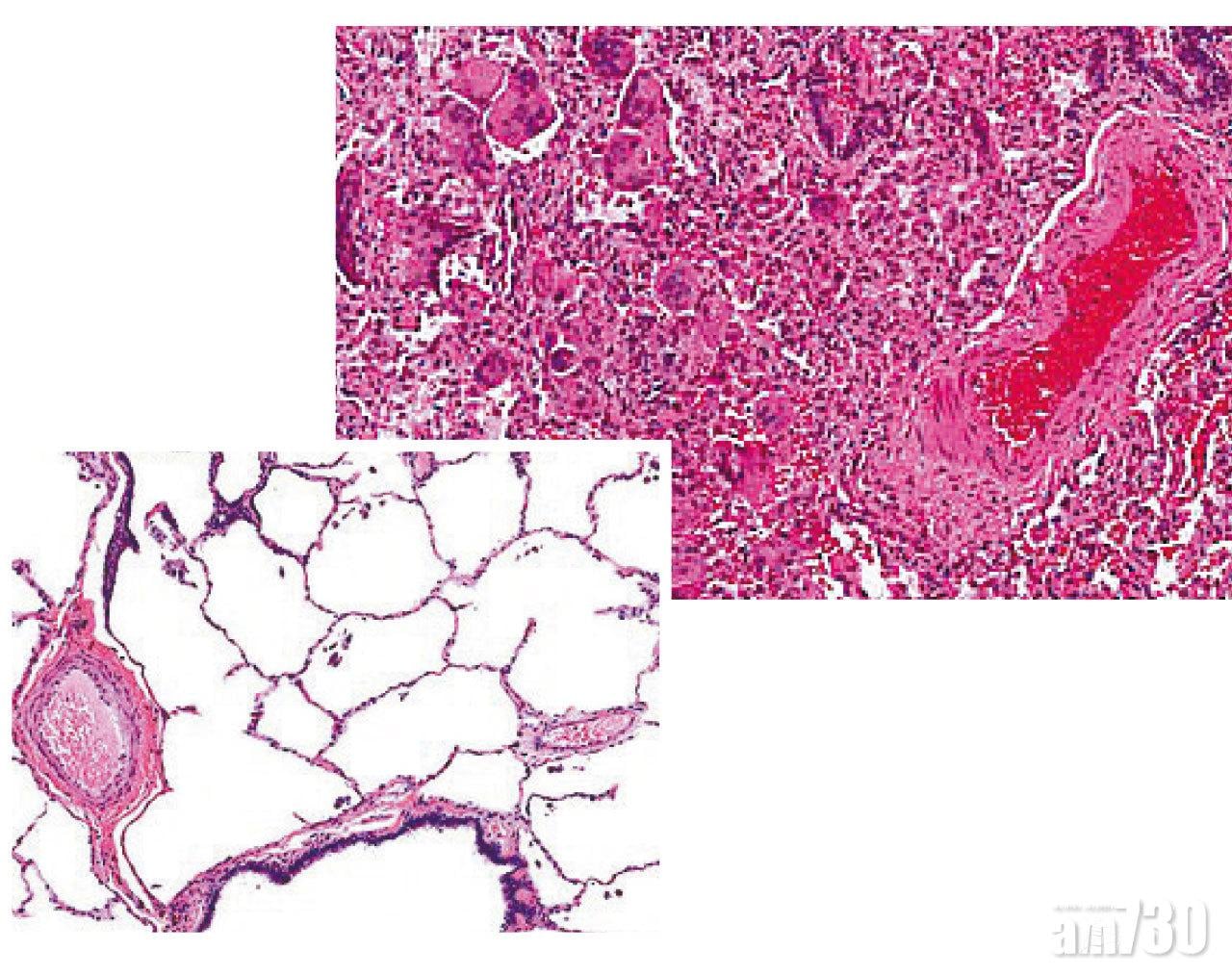
患者的肺部組織與正常肺部組織(小圖)對比。(互聯網)

患者的肺部組織與正常肺部組織(小圖)對比。(互聯網)

adblk4

美國發現首宗吸食電子煙患上罕見及不可治愈的肺病,患者為49歲女子,因持續數月出現呼吸困難求醫,經電腦斷層掃描後發現她患有重金屬塵肺病,肺部永久留下疤痕。該病通常只有接觸過工業用重金屬的人士會患上,如鑽石拋光及製造假牙,會接觸到鈷和鎢,研究員測試了患者電子煙發出的蒸氣,發現含有鈷和鎳等有毒金屬,相信由電子煙加熱線圈釋放。

ADVERTISEMENT

立即更新 /下載AM730手機APP 體驗升級功能

ad

恭喜你!獲取1分 !

更多積分任務