砒霜原來都可以治血癌!急性早幼粒細胞白血病(APL)是一種死亡率較高的血癌,港大醫學院研究團隊成功研發出三氧化二砷(砒霜)口服藥,令患者整體存活率提升至超過97%,亦是香港首款自主研發及製造的處方藥,同時為首種獲得美國、歐洲及日本專利的藥物。
港大醫學院臨床醫學學院內科學系臨床副教授喬夏利醫生表示,APL是急性骨髓性白血病(AML)中一款獨特的亞型,香港每年約有25至30個新症,「患者臨床表徵包括全血球減少、瀰漫性血管內凝血,並導致凝血功能障礙等。」
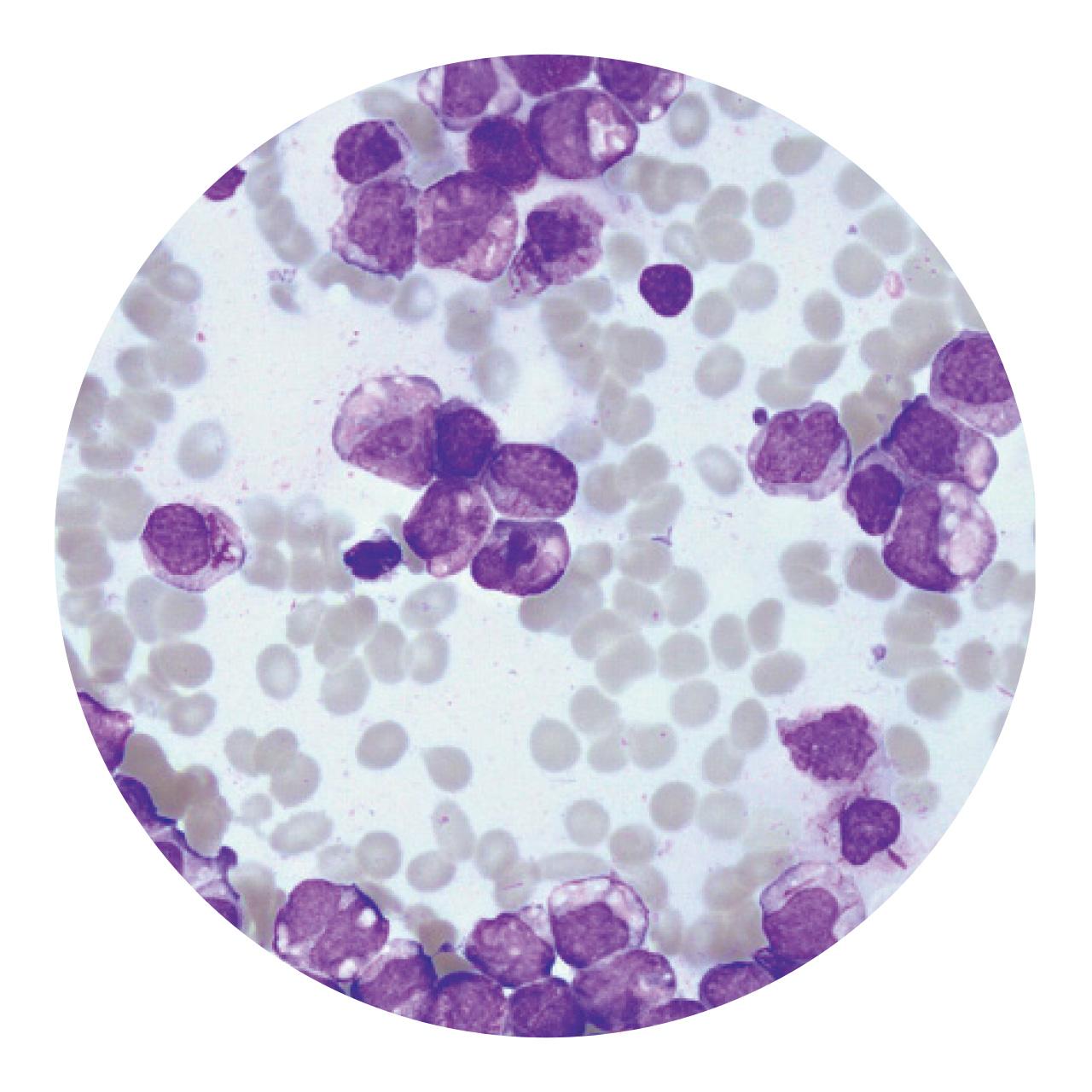
急性早幼粒細胞白血病可致全血球減少,以及出現凝血障礙。
早期死亡風險高
APL屬急性疾病,過往就算即時接受治療,首7天仍有多達二至三成患者因不同原因死亡,例如腦出血等。傳統治療方法包括化療加上口服全反式維甲酸(ATRA),以及注射式藥用砒霜治療,雖然緩解率可達九成以上,惟5%至10%患者會復發,長期存活率約80%。復發患者則會採用注射式藥用砒霜治療及化療,及後考慮造血幹細胞移植。
喬夏利續指,「注射式藥用砒霜治療需要留院治療100天,患者無法如常生活,亦有可能影響心臟,對患者和醫療系統同樣是負擔。而造血幹細胞移植亦有一定程度的風險存在。」
(左起)香港大學技術轉移處副處長陳慶忠博士、鄺沃林、黃女士及喬夏利。
口服藥使用簡易 大減化療需要
港大醫學院研究團隊開發的口服砒霜藥,已進行超過20年研究,先後試用於復發性APL、緩解後的維持治療,還是第一線誘導治療,都有非常理想的效果,5年存活率分別達80%、97%和100%。目前研究團亦正測試全口服治療方案(AAA),包括口服砒霜藥、ATRA及抗壞血酸,目前整體3年存活率及無復發3年存活率均達97%。最重要是患者只須在治療期間住院14至21日觀察情況,其後便可在家自行用藥及於門診覆診,大幅減少化療需要,生活質素大為改善,而本港已有430名患者接受過口服砒霜藥治療。
取得FDA及EMA認證
目前口服砒霜藥已列入醫院管理局藥物名冊,APL公院患者可以免費使用,最近更獲得美國FDA和歐盟EMA罕見病藥物資格認定(ODD)、FDA新藥臨床研究認定資格(IND),並於今年內開始藥物註冊研究項目,口服砒霜藥將來有望可於全球治療應用。港大醫學院臨床醫學學院內科學系講座教授鄺沃林教授續指,未來口服砒霜藥會研究用於其他白血病,以及類風濕關節炎、紅斑狼瘡等炎症相關的疾病上。
患者:猶如重獲新生
黃女士在2023年4月因為口腔潰瘍不愈求診,抽血檢查發現白血球低下,因懷疑是白血病便向私營醫療血液腫瘤科醫生求醫,抽骨髓檢查確診了APL。確診後立即開始傳統療程,包括化療及注射式砒霜藥物。化療令她脫髮,並因為易受感染而須隔離;注射式砒霜每日都要吊針數小時,她形容「好像浸在藥物中」,令她浮腫及非常辛苦。接受療程兩個月已花了260萬港元,如果完成整個療程,花費便逾千萬。有一天從病友口中得知瑪麗醫院有新藥,黃女士便即時約見喬醫生,並接受口服砒霜藥物治療,從此毋須再住院,並且在一星期後復工,去年9月更可到冰島外遊;由初期接受傳統治療的懷疑人生,到今天猶如重獲新生。現時黃女士只須維持治療便可,與康復無異。












