dadblk3 madblk3
adblk3
adblk3
生活
出版:2018-Jun-01 06:00
更新:2018-Jun-01 06:00

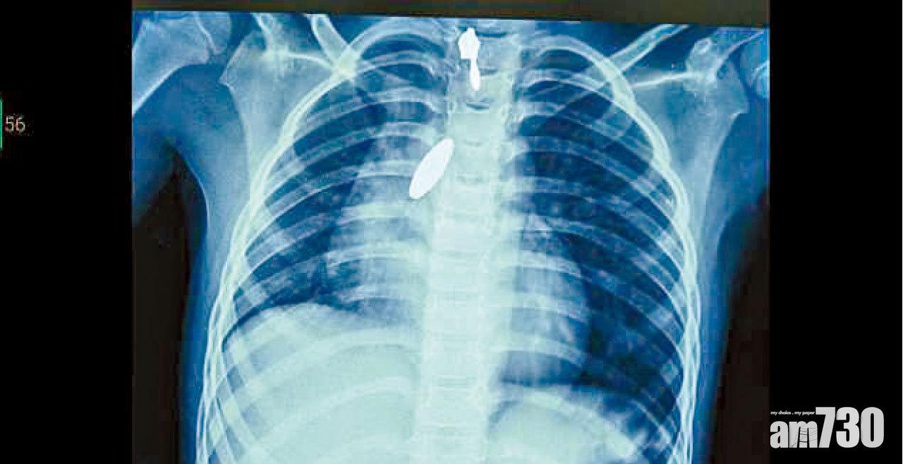
肺卡磁鐵 強力攝石吸出

分享:
adblk4

以毒攻毒,以磁吸磁。印度班加羅爾一名9歲女童玩耍時意外吸入一粒磁鐵,送院救治後,醫生試圖用支氣管鏡檢查儀,夾出附在肺部的1吋長異物,但太滑無法夾穩。最後毋須動手術即將它吸入氣管、再輕易從口而出──妙法是一塊超強力磁石。  (互聯網)

ADVERTISEMENT

送BOC Pay+ X M&M'S 慶新年開運箱

ad

恭喜你!獲取1分 !

更多積分任務