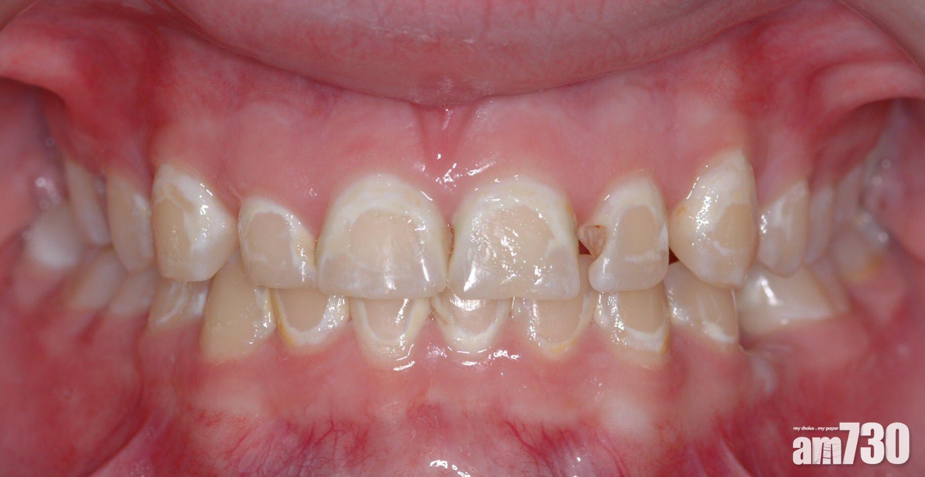
牙齒的光滑面出現一點點的白斑,呈現出一些不透光的粉筆白區塊,與周圍健康的牙齒有明顯區別,便是牙齒脫鈣的現象。甚麼是脫鈣?就是指,牙齒表面應該是一個高礦物質的平滑面,當細菌積聚在牙齒形成牙菌膜,並遇上糖分便會產生酸。細菌代謝產生的酸性物質會使牙齒表面礦物質流失,造成脫鈣現象,是蛀牙形成過程中最早期的階段。
幾種原因可能造成這種現象:日常口腔清潔沒有做好;喜歡吃酸的東西,或是含酸性的食物,例如碳酸飲料;而比較常見的是接受傳統牙齒矯正的患者。由於矯正器的周圍較難清潔乾淨,使牙菌膜容易積聚,增加牙齒脫鈣的機會,在清除牙箍後白斑會更清晰地顯現。
想改善白斑,現時有一種滲透式樹脂補牙,以微創的方式修復牙齒,不需用高速磨牙機「車牙」,避免破壞天然牙齒的完整性。這種治療方法屬於一次性,治療後保持良好清潔護理及飲食習慣,便可維持效果,免除用舊式補牙方法後,牙齒與填補物交界處再有蛀牙的風險。此外,滲透式補牙能幫助牙齒「補鈣」,使牙齒停止繼續鈣化,防止進一步蛀牙的形成,大幅改善斑點色素的情況,均勻牙齒顏色。
相對普通補牙,滲透式補牙的處理更花時間,操作步驟比較繁複,是屬於技術敏感的治療。在過程中,需要將物料逐層滲透到脫鈣的微小孔洞,觀察其變化以作修復。另一方面,物料成本費用較高,所以治療費用亦較為昂貴。









