回首17年前的香港,一場沙士奪去近300名港人性命,當中包括自願加入Dirty Team的「香港女兒」謝婉雯醫生。回到今天,沙士教訓早已淡忘,「新沙士」卻席捲全球,令人類再次置身於「一疫攻城萬骨枯」的惶恐中。
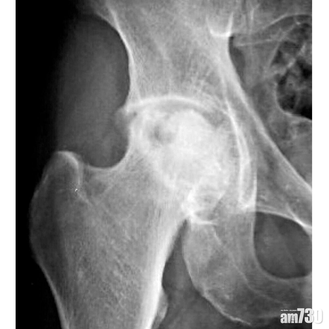
當年沙士一疫,有逾一成的感染康復者,因治療期間接受了高劑量類固醇,及後出現股骨頭骨枯。所謂骨枯,正式學名為缺血性骨壞死,常見於股骨頭和末端、肱骨頭、舟骨與距骨。除了高劑量類固醇外,骨折、關節脫位和酗酒等,都可令骨骼的血液供應受阻,導致骨細胞壞死。
髖關節由股骨頭與骨盆的髖臼組成,但壞死的股骨頭會逐漸塌陷,令關節變得不平滑,軟骨在晝夜摩擦下加速耗損,最後更惡化成髖關節退化。患者起初只感到腹股溝隱隱作痛,到後期髖關節活動亦逐漸受限,難以再蹲下或翹腳。為減輕髖關節受力而產生痛楚,每當患者行走,輪到以患肢着地時,上身會習慣地傾向患側,來縮減身體重心的力矩,造成看似左搖右擺的步態。
單靠X光,在早期較難察覺股骨頭異常,需要照磁力共振或骨掃描來早日斷症。治療方面,透過非類固醇消炎藥、物理治療和使用拐杖,可紓緩髖關節痛。假如股骨頭尚未塌陷,患者可接受減壓及植骨手術,以防骨枯進一步惡化。但有不少患者在求診時,髖關節早已出現退化,惟有人工關節置換術,才可讓患者在無痛的路上重新出發。
沙士過後,醫學界認為類固醇的治療成效不彰,因此在這場新沙士中未曾處方,大家亦不用擔心骨枯云云。反而令人心寒的,卻是誰在領導全球抗疫(WHO cares)。君不見一將尚未功成,世上萬骨已枯?與其信賴世衛,各國還是自求多福吧。
作者為骨科專科醫生









