曾:「我係真醫生。」林:「我係臨病人。」曾:「今日我哋講啲同硬頸有關嘅病。」
林:「如果瞓醒後條頸又緊又痛,過一兩日會自己好返,依個病叫做?」曾:「急性頸椎關節周圍炎,俗稱瞓捩頸或者落枕,通常同枕頭太高或太低、習慣趴睡、經常做低頭族等有關。當頸椎喺瞓覺時成晚都維持不當姿勢,就會導致肌肉繃緊同關節卡住。只要平時多做頸部伸展運動,避免成日低頭望電話,同選擇高度、軟硬度適中嘅枕頭,都可以預防落枕。」
林:「咁如果成日坐低對住電腦,後頸肌肉覺得痠痛同繃緊,依個病又叫做?」曾:「簡單嚟講係都市病,因為成日對住螢幕,容易慣性將頭向前伸,令後頸嘅上斜方肌同提肩胛肌變得過度繃緊而出現肩頸痠痛。如果加埋寒背同圓肩,長期肌力唔平衡就會形成上交叉綜合症。所以除咗做頸部伸展運動,坐低時仲要提醒自己:挺胸坐直,耳仔同膊頭由側面睇,要保持喺垂直線上。」
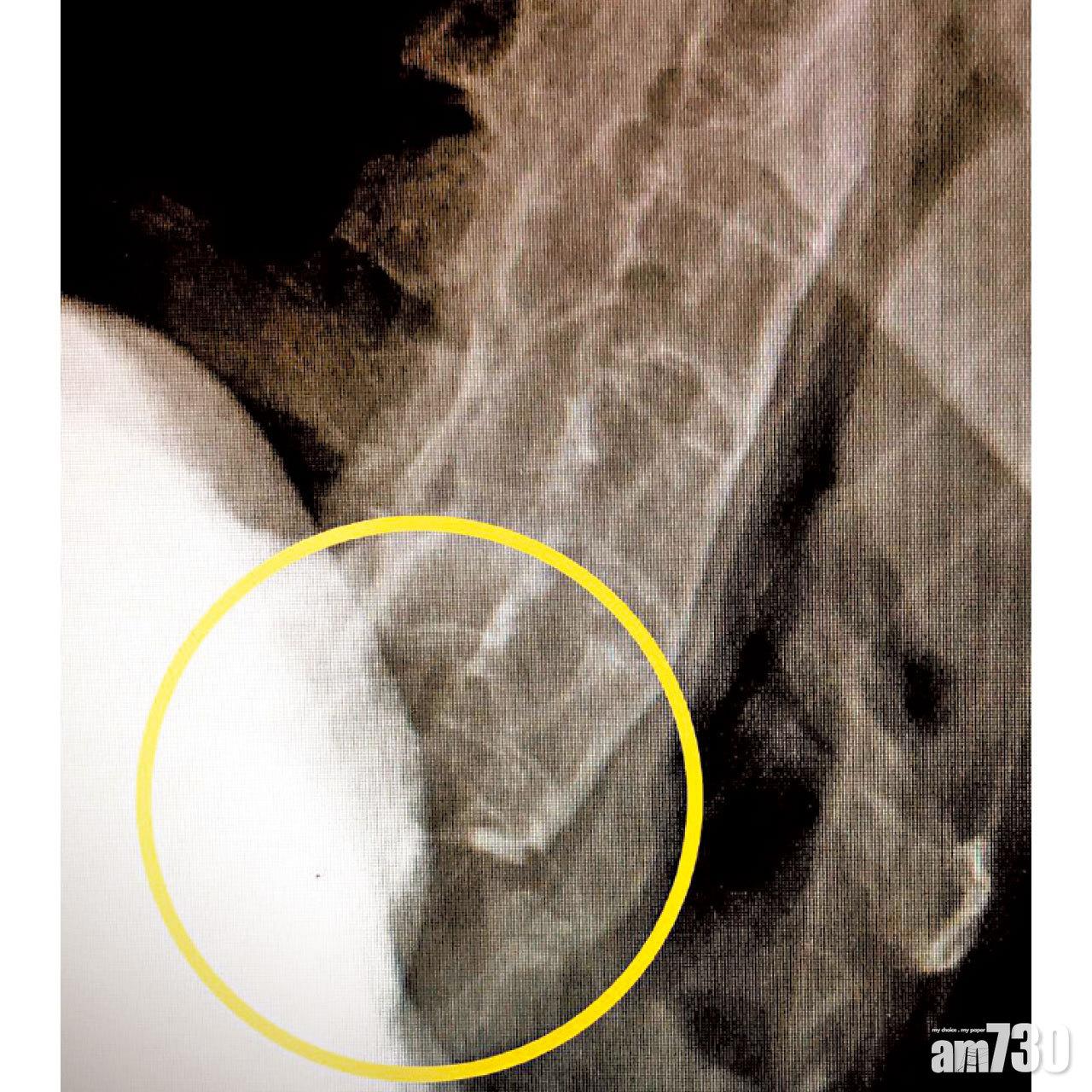
林:「咁如果由腰到頸都硬到不得了,甚至唔可以抬起頭向前看,依個病又叫做?」曾:「要排除係強直性脊椎炎,佢係自體免疫性疾病嘅一種,患者通常係男性,後生開始發病,主要影響中軸骨骼,造成慢性關節炎。起初腰背痛同僵硬會持續3個月,到後期中軸關節會逐漸融合。當頸椎關節融合而變得僵硬,頸椎就變成咗一條長骨,萬一唔小心跌倒就會導致頸椎骨折。」
林:「咁如果自以為是,唔肯聽人意見,依種硬頸又叫做?」曾:「依種硬頸,其實同數目字7有關。頸椎一共有7節,就係要我哋靈活屈伸,唔好死牛一便頸:只係擰頭拒絕,唔肯噏頭認同;只顧左邊奉承,忽視右邊忠言;只對準螢幕中央辦事,懶理旁人嘅意見同感受。」
作者為骨科專科醫生









