「病向淺中醫」這句話,相信大家都會認為無可疑,但任何治療亦講求緩急輕重。既然傷患在天災人禍下,已變成無法避免,大家便須掌握正確的急救知識,免得帶來不必要的「二次傷害」。
創傷後的急救,以處理生命受威脅的情況(如氣道阻塞和心跳停頓)為首,肢體受威脅的情況(如骨折)為次。黃金時間只有首一小時,而近半的死亡個案,皆發生在意外現場或送院途中。當尚未排除脊椎是否受傷骨折前,切勿在電光火石間移動傷者,造成骨折移位並脊髓受損的二次傷害。如須將伏臥的傷者臉部朝天,以便搶救,便需要額外3位急救者協助,以滾木翻身法來轉身。
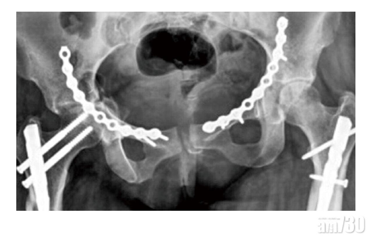
當嚴重創傷導致身體多處內出血和骨折,緊急手術的次序,亦以腦部、胸腹和骨盆,先於脊椎和四肢。在處理多發創傷的學術上,過往曾主張「早期全面處理」(Early Total Care):緊急為骨盆和股骨等嚴重骨折,做內固定手術。但往後的研究卻發現,此舉或會令本已危殆的傷者,生理機能承受不了,引發出全身炎症反應,甚至多重器官衰竭,以致休克與死亡。
為減低這種術後併發的二次傷害(Second Hit Phenomenon),近年骨科醫生多傾向以「損傷控制」(Damage Control)的大原則,來處理多發創傷:首階段以外固定支架來穩定肢體及骨盆骨折,待生理機能回穩後,才做次階段的內固定術。
其實任何手術,不論大小,皆屬對病人身體的二次傷害(Surgical Insult)。即使面臨危急的病情,須在電光火石間作出抉擇,醫者仍會盡己所知所能來醫治,務求達至無損害(Do No Harm)的醫學倫理原則。
不論是治病的手術刀,還是治亂世的重典,在切除病變組織的同時,也該設法減低對無辜細胞的傷害。
作者為骨科專科醫生









