dadblk3 madblk3
adblk3
adblk3
健康
出版:2020-Oct-11 12:30
更新:2020-Oct-11 12:30

睡醒眼痛睜不開眼 原來是「眼角膜糜爛」

分享:
早上起床開眼有困難及感到痛楚,是「復發性眼角膜糜爛」的典型病徵。

早上起床開眼有困難及感到痛楚,是「復發性眼角膜糜爛」的典型病徵。

adblk4

當早上起床甫睜開眼睛,是否曾經歷過眼睛像刀割般、需要立時閉目才能平復的痛楚?若是,你可能患上「復發性眼角膜糜微爛」!此症或稱「復發性眼角膜損傷」,患者可能同時出現畏光、不斷流眼淚、看事物感模糊等徵狀。若眼睛乾澀,病徵會更見嚴重。幾乎有一半個案是因患者過往眼睛曾受過創傷,例如:不慎被紙張割傷或被指甲刮傷、在除下隱形眼鏡時不小心弄傷等。即使創傷完全康復,過了一段時間,一星期或數月後,卻又出現上述的徵狀。此外亦有小部分個案是角膜失養症引起。

就此病的治療,眼科醫生一般會採取逐部遞增的治療。醫生會首先處方不含防腐劑人工淚液和眼藥膏以保持眼表濕潤及紓緩徵狀,同時會處方抗生素眼藥水以減少上皮缺損患者細菌感染的風險。病情嚴重的病人甚至痛得不能張開眼睛,除了止痛藥,眼科醫生會為病人配置特別的隱形眼鏡,就像在眼睛表面加上一層膠布一樣,可以即時減低痛楚及好讓患者能夠開眼,維持日常運作。情況未改善者便繼而使用多西環素(Doxycycline)及類固醇藥物;若仍未好轉則要進行手術。手術包括角膜穿刺術、角膜皮層酒精分層術、角膜表層切削術及光治療性角膜切削術,透過增加眼角膜表皮及前彈力層之間的黏合度,令情況得以改善。

由於復發性角膜損傷會容易受細菌感染,有機會導致角膜混濁和疤痕,建議大家「病向淺中醫」,尤其是過去眼睛曾有損傷的人士,一旦發現有可疑徵狀,便要及時求醫及採取治療。

作者為眼科專科醫生陸藹晶

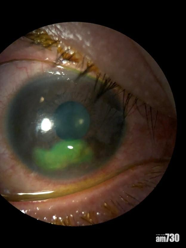
此病的主要成因是眼角膜表皮及前彈力層黏合不全。(相片來源:李志康醫生)

此病的主要成因是眼角膜表皮及前彈力層黏合不全。(相片來源:李志康醫生)

ADVERTISEMENT

立即更新 /下載AM730手機APP 體驗升級功能

ad

恭喜你!獲取1分 !

更多積分任務