在武俠小說世界裡,輕功的奧妙之處,在於能使如海狗這麼重的人,飛得像老鷹那麼高。但從醫學和物理學的角度來看,世上根本不存在違反地心吸力的「輕功」,只有跳得幾高和幾遠之分。
當一個人跳起時,小腿肌肉需要用力地收縮,將足踝關節由背屈(腳掌向上)急速地變為蹠屈(腳掌向下)。而阿基里斯腱(跟腱,Achilles Tendon)則負責將小腿肌肉與腳踭的跟骨連在一起,在跳躍時擔起重要角色。除此之外,跳躍亦需要股四頭肌和臀大肌發力,分別將屈曲的膝和臗關節伸展。
倘若平時沒有做伸展跟腱和強化小腿肌肉的運動,到了周末又落場大展身手,便隨時會為了「救波」而令跟腱不幸受傷,較常見的情況便是打羽毛球。表面上看似低運動量的羽毛球運動,往往吸引一些「周末運動員」參與。當跳起後著地的一刻,地面的反作用力,會將腳掌由蹠屈急速地變回背屈,而跟腱在承受體重和向下加速所帶來的拉力下,便容易造成斷裂。
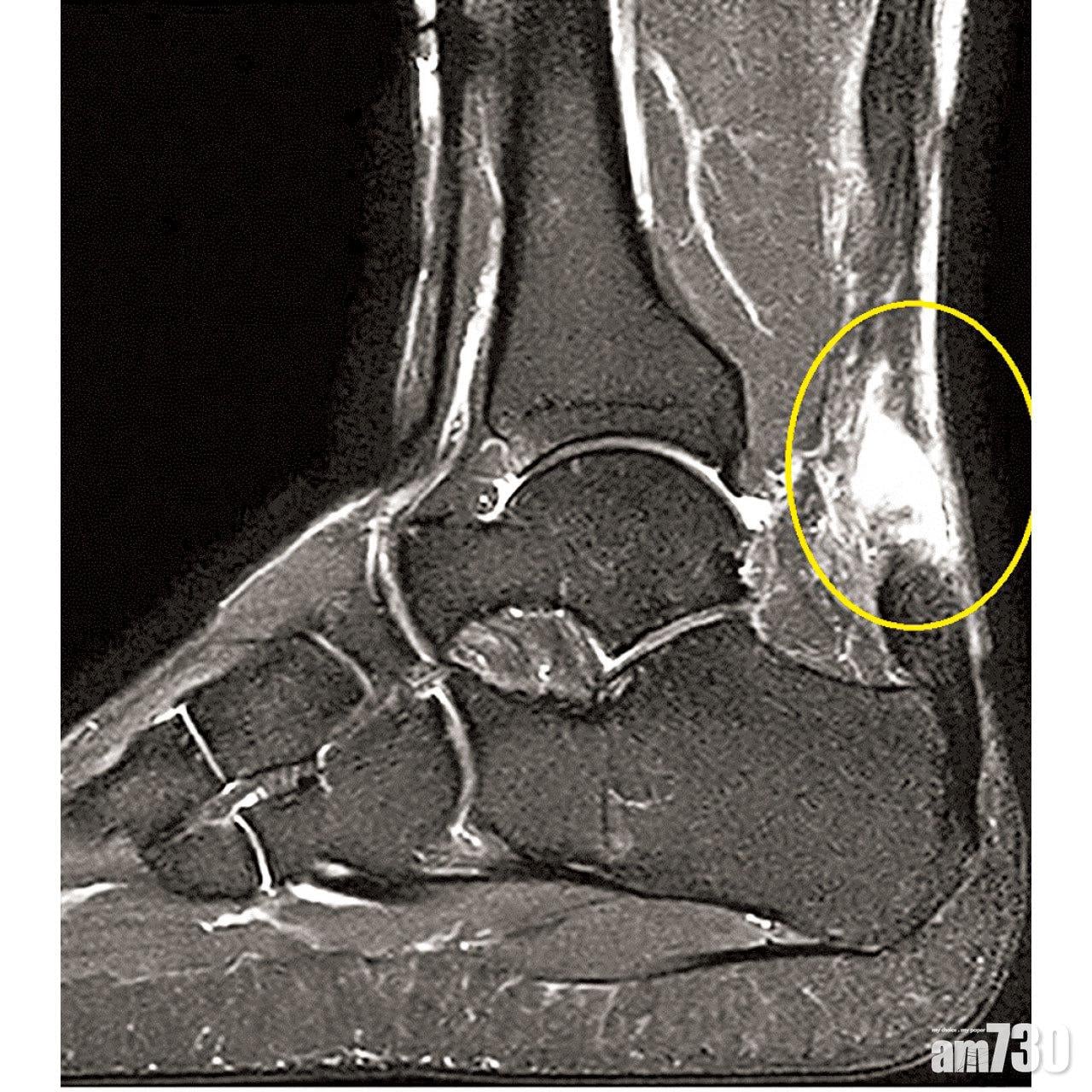
一旦跟腱斷裂,傷者會感到腳踭刺痛和出現腫脹;當走路時,亦不能再發力提起腳踭以腳尖站立。跟腱斷裂雖屬臨床診斷,但磁力共振能確定斷裂的位置和嚴重性,以及跟腱本身有沒有因勞損而出現病變。過往在治療跟腱斷裂上,可選擇打石膏固定足踝在蹠屈姿勢,讓跟腱自然愈合。惟近年骨科醫生大多傾向做微創手術來修補跟腱,以加速復康進度並減低跟腱再斷裂的風險。
挑斷腳筋,是武俠小說內廢敵人武功之法。如不想落場比賽時自廢武功,平日便要像習武之人一樣,練好伸展和強化跟腱的功夫底子。
作者為骨科專科醫生









