屬慢性腸炎的炎症性腸病(Inflammatory Bowel Disease)包括克隆氏症(Crohn’s Disease)及潰瘍性結腸炎(Ulcerative Colitis),是自體免疫性的疾病,會終生伴隨患者。不少患者會反覆出現腹瀉、腹痛、發燒、 食慾不振、體重下降和疲倦等病徵;其中一些個案甚至須接受手術,切除部分腸道。
要診斷患者是否患上炎症性腸病,傳統的診斷方法除了根據患者的臨床症狀外,還會作血液檢查和內窺鏡檢查。血液檢查結果和臨床症狀都可以幫助醫生作出診斷,但是兩者是否與炎症性腸病有關,則未必有明確指示;內窺鏡檢查屬侵入性程序,但有助醫生作出更準確判斷。
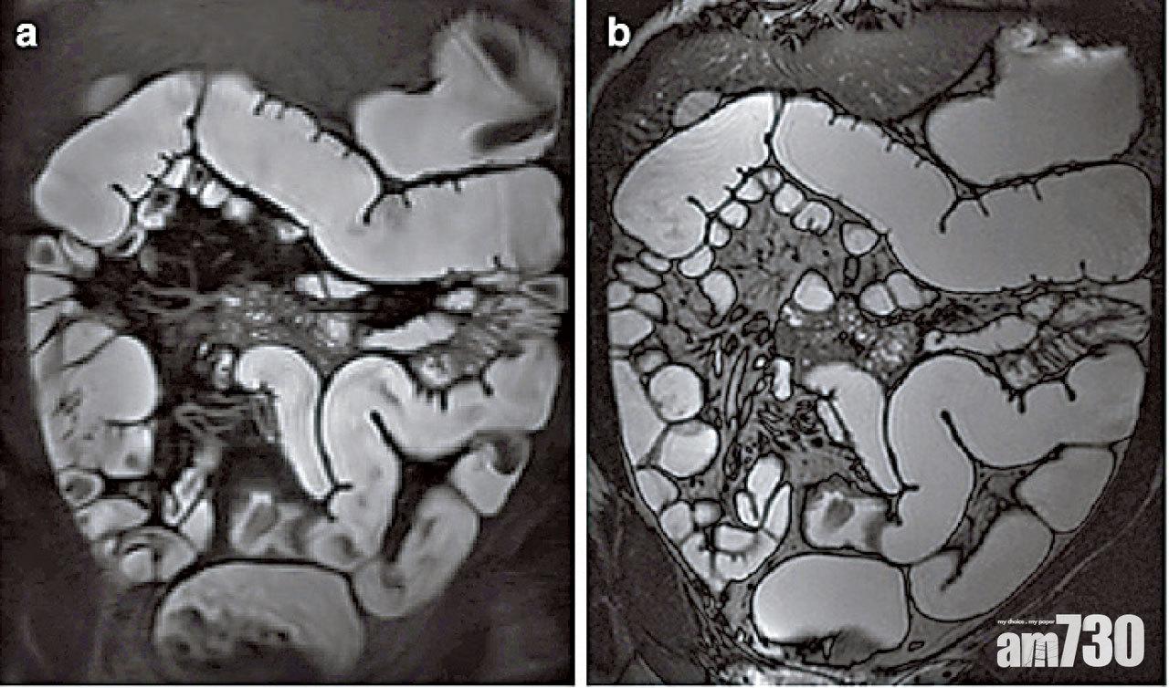
香港的炎症性腸病患者有數千名,近年患者數目更有上升趨勢。除了傳統診斷方法,電腦斷層掃描(CT)和磁力共振掃描(MRI)等醫學影像技術,亦已成為評估炎症性腸病的重要診斷工具。 其中的電腦掃描腸造影檢查(CTE)可在數分鐘內完成,為醫生提供小腸的詳細成像,也能顯示炎症性腸病相關併發症如腸梗阻、狹窄和瘻管的情況;又可以偵查腸道以外是否有併發症,例如腹腔是否有膿腫。
磁力共振掃描腸造影檢查(MRE)同樣可用於評估小腸情況,但與電腦掃描腸造影檢查不同之處是它不涉及電離輻射,因此特別適用於終生需要進行多次檢查的年輕患者。至於磁力共振掃描,則可用於掃描炎症性腸病患者盆骨肌肉層的肛周周圍,以便評估他們有否出現肛瘻及肛門膿腫等問題。
電腦斷層掃描和磁力共振掃描均是非侵入性檢查程序,對評估小腸和消化道以外的併發症尤其有用。醫生使用這些掃描診斷工具,再配合傳統的內窺鏡檢查和血液檢查,可為病人度身訂造合適的治療方案,有助預防他們突然發病及出現併發症。
作者為港大醫學院放射診斷學系臨床助理教授趙允恒醫生









