假如你經不起別人的善意批評,一字一句都足以觸動神經、傷害感情,那麼你便要珍重這顆易碎不能碰的「玻璃心」。雖說醫學上骨頭比心臟堅硬,但有種先天性疾病,會令兒童骨骼變得脆弱,稍微碰撞便會輕易骨折,叫患者父母皆心碎。
俗稱「玻璃骨」的成骨不全症,是一種罕見的遺傳性或染色體突變疾病,骨骼因缺乏正常的一型膠原蛋白而變得脆弱,大約每二萬名出生嬰兒中就有一名患者。玻璃骨主要可分為四型,當中較常見又輕微的第一及四型屬顯性遺傳;而較嚴重的第二及三型則屬隱性遺傳或染色體突變,在出世時甚至於母腹中已證實骨折。除了骨骼外,缺乏正常的一型膠原蛋白,亦會引致藍色鞏膜、心瓣和聽力等問題。
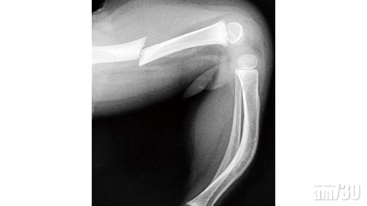
患上玻璃骨的「瓷娃娃」,早於學行前便開始因輕微碰撞,或在毫無創傷記錄下,在四肢各處重複地骨折,需經常入院治療。其骨折的治療方案,大致上都與一般小兒骨折無異,包括照X光檢查,就嚴重程度選擇打石膏、戴矯形器或做內固定手術。雖然此症不會影響骨折自然愈合,但因失去重塑能力,四肢骨骼會逐漸變形。至於脊椎也會形成脊柱側彎與後凸,最終患者個子也較為矮小。
隨着長大後骨骼成形,患者骨折的次數也會明顯減少。但要在童年時扭轉經常骨折的厄運,醫生或會處方用於治療骨質疏鬆的雙磷酸鹽,並在四肢骨折或做矯形手術時,使用可延長的髓內釘來固定,一來可強化骨骼的承重能力,二來能減少日後需重做手術的次數。作為照顧者的家長,既要對瓷娃娃呵護備至,又時刻生怕意外骨折,如何拿捏輕重方寸,委實不易。
與外表強悍如戰狼、內心脆弱如玻璃的強人相比,玻璃骨患者能夠自小經歷無數次骨折煎熬也不言敗,從軟弱的軀殼中,熬煉出一顆堅強不易碎的心。相較之下,試問動不動就氣得滿臉憤紅的玻璃心患者,又情可以堪?
作者為骨科專科醫生









