dadblk3 madblk3
adblk3
adblk3
健康
出版:2021-Nov-26 04:30
更新:2021-Nov-26 04:30
日報

眼表病變 翼狀胬肉

分享:
adblk4

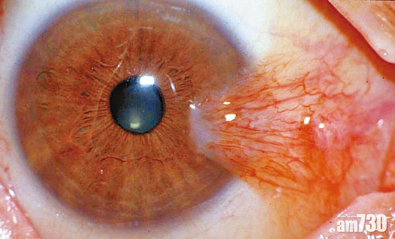
除了上期談及的「角膜白環」,還有另一種眼表病變「翼狀胬肉」,有時也會被誤會為白內障。翼狀胬肉是一種慢性的結膜病變,是指處於眼白位置的結膜組織發生變質,引致纖維組織和結膜血管良性增生,緩慢地向角膜表面生長。臨床檢查可見眼白長出粉紅色及半透明呈三角形薄膜,其中部分會延伸到黑色眼珠範圍。胬肉的成因仍不明確,一般認為是因結膜組織長時間受外來刺激而引起,特別是陽光中的紫外線,其他環境因素還包括乾燥、風沙、粉塵等。長期在戶外工作的成年人,如建築工人、農民、漁民,和喜好戶外運動及水上活動人士,都是高危一族。

早期的胬肉只覆蓋眼白位置,患者可能沒有太大感覺,或只有輕微的異物感,當胬肉逐漸變大,就會容易發炎,影響眼睛發紅,長期不適,也會令眼球表面不平滑,影響淚膜,造成乾眼症;再進一步就會影響角膜弧度,加深散光,造成視力受損,最嚴重的,甚至會遮蔽瞳孔,阻擋視線,及阻礙眼球轉動。

治療方案須視乎胬肉的大小及嚴重程度。早期的胬肉,如果沒有影響視力,通常毋須接受手術,會建議定期跟進觀察胬肉情況,配合使用不含防腐劑的滋潤眼藥水,紓緩眼睛的異物感。假如胬肉引發眼睛發炎,則按需要使用消炎眼藥水,減輕不適。要知道眼藥水並不能阻止胬肉的生長,胬肉也不會自行消退,所以病況較嚴重又有影響視力的患者,應考慮接受胬肉切除手術。下期續談胬肉手術。

眼表病變 翼狀胬肉

ADVERTISEMENT

ad

恭喜你!獲取1分 !

更多積分任務