dadblk3 madblk3
adblk3
adblk3
健康
出版:2022-May-04 04:30
更新:2022-May-04 04:30
日報

校服的自述: 有種分離叫做前臂骨折

分享:
校服的自述: 有種分離叫做前臂骨折
adblk4

(按:應屆中學文憑試,中文科卷二題目一為「校服的自述」。)我是一套校服,今日要和主人分離,回想過去我們一起生活,別有一番體會。

說起我的主人允行,他是一名中二學生。在他今日受傷入院前,我曾陪伴他開展中學生涯;在課後的籃球場上,我曾被他的熱汗沾濕;我也見證他踏進青春期而露出白襪,要他母親將我的雙腿改長。但當他升上中二後,卻疑似患上「中二病」:渴望得到認同,卻總是我行我素,任由我不受皮帶約束;渴望談戀愛,卻又對女同學裝作冷漠。

後來他得知,原來同班同學向華,也一直暗戀着鄰班的幼羚,以致今日二人在籃球場上互相推撞。就在允行跳起「搶籃板」的那一瞬間,他被向華刻意撞跌,右手一著地便應聲骨折,變形的前臂恍似折斷的樹枝。立時他痛得淚水奪眶而出,連連滴在我身上。向華也抱疚地扶起他,拿毛衣充當三角巾,帶他前往急症室,輾轉下他被送進病房內。

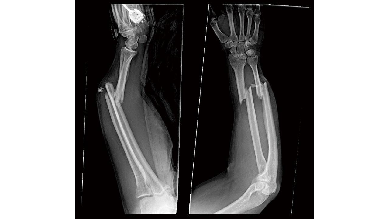
「從X光可見,允行右手前臂的兩條骨,即是橈骨和尺骨,都出現骨折並且移位。幸好骨折並沒有刺穿皮膚,但必須盡快做手術,將骨折復位,用鋼針固定,然後打石膏讓骨折在四至六星期內愈合,最後便可拆石膏和移除鋼針。」當骨科醫生向他母親講解手術時,我緊貼著他的胸膛,聽得到他怦怦的心跳聲,正如他面對著幼羚時害羞的反應。

「允行,準備入手術室了,」護士說,「但你這件校服應該脫不下來……」由於右手被石膏托包圍,入手術室前卻須更換手術衣,因此護士在別無選擇下,只好拿起剪刀,從衣袖開始,將我從他的身上剪下來。想起他留在我身上的汗漬和淚痕,此情此景實在傷感。然而惟有與他分離,方可成全骨折復原。從未跌過痛過的年輕人,又怎能夠體會得到,何謂得失取捨之人生抉擇?

假如我可以在他術後的石膏上簽名留言,會衷心地寫下,「祝你的前臂骨折和中二病都早日康復,將來靠這右手在文憑試上摘下繁星,升讀不用再穿校服的心儀大學。」
作者為骨科專科醫生

ADVERTISEMENT

立即更新 /下載AM730手機APP 體驗升級功能

ad

恭喜你!獲取1分 !

更多積分任務