dadblk3 madblk3
adblk3
adblk3
健康
出版:2023-Nov-13 04:30
更新:2023-Nov-13 04:30
日報

生物資訊學:引領生物科技的未來

分享:
生物資訊學

生物資訊學:引領生物科技的未來

adblk4

近年人工智能和大數據已廣泛滲透至我們生活各個層面,在醫療和醫學領域的應用也不例外。生物資訊學(Bioinformatics)是一個跨學科的科學領域,結合醫學、人工智能及大數據等。本港愈來愈多人意識到生物資訊學對促進醫療行業發展的好處。例子之一是醫療機構開始使用具備人工智能的聊天機械人,協助患者預約、回答常見問題,甚至提供心理健康支援。醫管局已在其2022至2027年策略計劃中把推行由生物資訊學驅動的智慧醫院列為主要目標,以減輕醫護人員的負擔並提高營運效率。

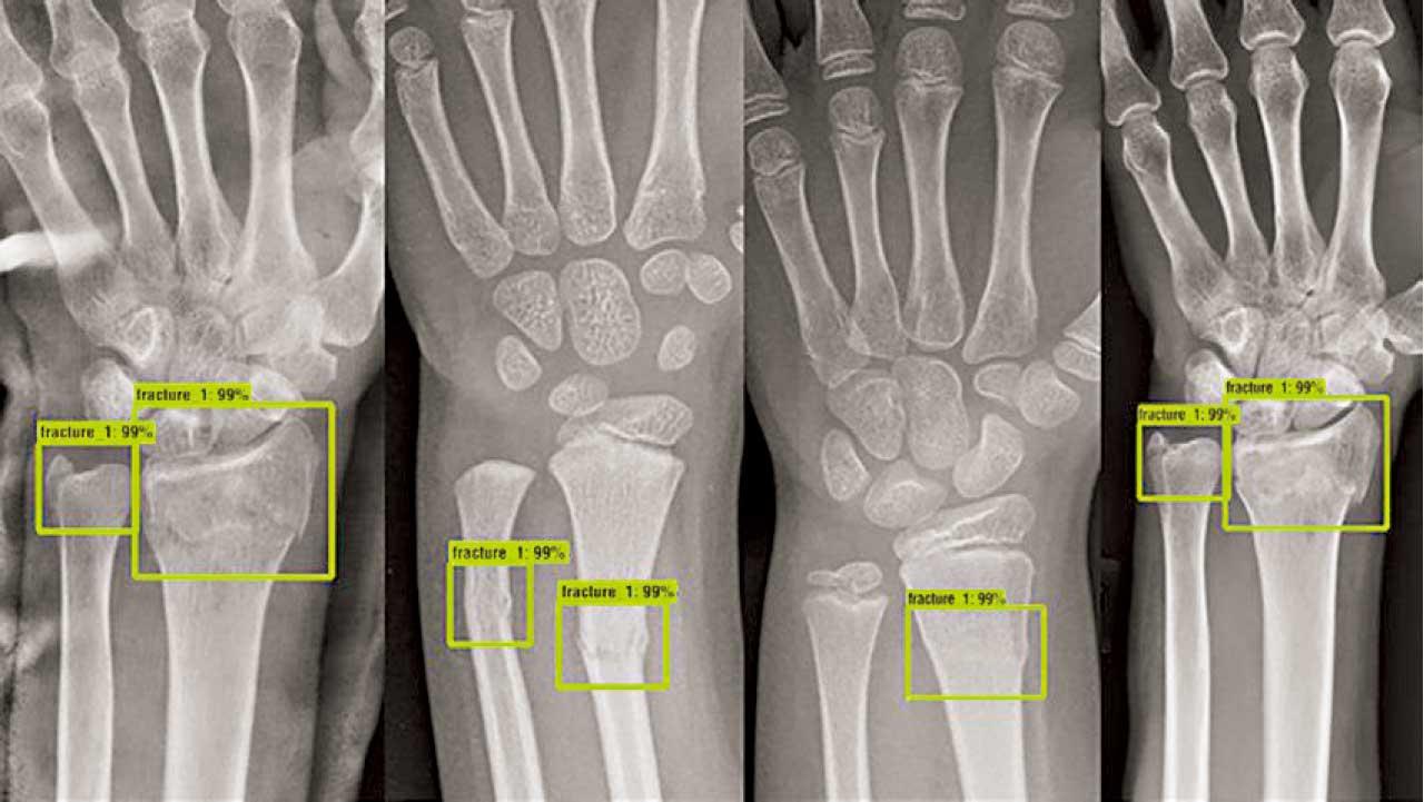
生物資訊學在診斷方面發揮舉足輕重的作用。本港有人工智能初創公司正與醫管局合作,利用先進的機器學習演算法,分析X光和MRI等醫學影像數據,能準確檢測肺炎和骨折等疾病。這些人工智能工具可協助放射科醫生作更快、更精確的診斷。

同時,生物資訊學也正在改變本港醫療領域。舉例說,在新冠疫情期間,衛生署與港大醫學院合作,利用八達通出行紀錄等大量數據來監測病毒傳播趨勢。衛生署透過分析有關數據,包括疫情和疫苗接種率,迅速採取有效措施。

隨著港府不斷投資人工智能和大數據驅動的醫療保健行業,本港對生物資訊專業人才的需求不斷增長,但目前相關的人才短缺令人工智能和大數據在本港醫療領域的發展面臨挑戰。

生物資訊學專業人才擁有結合生物學、電腦科學和大數據分析等獨特技能,在多個行業中有良好的就業前景,無論在研究機構、製藥公司、醫院,還是在投資銀行、資訊科技公司都能一展所長。

總括而言,生物資訊學將繼續為本港醫療發展塑造更美好的未來,能協助醫療專業人員做出更明智的臨床決策,以改善香港市民的健康和福祉為目標。

作者為港大醫學院生物醫學學院副教授黄永瀚博士

ADVERTISEMENT

立即更新 /下載AM730手機APP 體驗升級功能

ad

恭喜你!獲取1分 !

更多積分任務