讓圖像說話,用影像看到真相。我的哥哥上月不幸猝死,作為中醫的舅父認為,他生前一周的氣色不好,已經是先兆。
氣色、氣虛、濕氣、熱氣等等,都離不開一個「氣」字。我不是存心想「黑」中醫,因為我家是三代中醫世家。但我在香港和德國接受西方教育,視科學為戰勝玄學的王道,對虛無縹緲的東方神秘主義總有存疑。魯迅在仙台讀西醫啟蒙後,封中醫是「有意的或無意的騙子」,因為老中醫開出「原配蟋蟀」這種神藥給他父親治療而致死的。
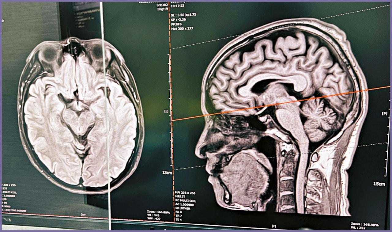
有圖有真相,我從來沒有見過「氣」,但我今天就真的看到我最擔心的自己大腦神經長甚麼樣子!話說我在台中柏忕健康管理中心做了MRI體檢,人體約有六成是水分,一個水分子有兩個氫原子(H2O),所以人體含有大量的氫原子。
MRI就是利用達地球磁場15萬倍的強大人造磁場,引發不同器官的氫原子核釋放電磁波,其「共振」可被檢測,並轉化為圖像。與傳統CT比較,MRI擁有更高的軟組織分辨率,精細「解像度」可以高達1至2毫米,比CT更有效和更早期發現病變。









