一名53歲男子罹患罕見的垂體柄阻斷綜合症。(《澎湃新聞》)
重慶市永川區一名53歲男子李明(化名)因出生時遭遇臀位難產並伴有嚴重窒息,導致罹患罕見的垂體柄阻斷綜合症,但直至近期他才得知自己患有這種疾病。
罹患垂體柄阻斷綜合症 骨齡僅15歲
《澎湃新聞》11月19日報道,這名53歲農民外表如同青少年,身高僅1.45米,聲音如童聲,無喉結和腋毛,骨齡僅相當於15歲左右。
據報道,李明在兄弟姊妹六人中排行第五,因出生時的特殊情況,他的成長速度極為緩慢。20歲的時候身高僅1.2米左右,現在則大概1.45米。李明表示,家人曾說他能活下來就是個奇蹟。
由於身高和體力的限制,李明初中畢業後無法像同齡人一樣外出工作,只能留在農村老家,幫忙家裡做一些輕鬆的農活。至今,李明仍是單身。
李明以前只知道自己長得慢,直到去年他因咳嗽、咳痰引發肺部感染,治療後仍未見好轉,還反覆出現低鈉症狀,甚至昏迷,李明家人才將他送往醫院。
在家人陪伴下,李明來到陸軍軍醫大學西南醫院內分泌科就診。主治醫師冷蔚玲介紹,經檢查發現患者身高僅1.45米,無喉結、腋毛及陰毛,骨齡僅約15歲,性激素和甲狀腺激素水平均偏低。
多項激素水平低於下限
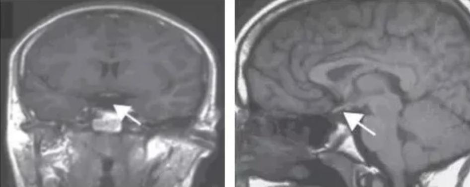
內分泌科進一步檢測了李明的垂體相關激素水平。結果顯示,其多項激素水平明顯低於參考值下限。影像檢查也顯示,患者的垂體柄纖細,腺垂體發育不良,垂體後葉異位。
經詳細詢問病史後,綜合患者相關發育表現和檢驗結果,內分泌科團隊高度懷疑為「垂體柄阻斷所致腺垂體功能減退」。
據介紹,垂體柄阻斷綜合症是一種罕見先天性疾病,多與圍產期窒息、臀位難產等產傷窒息相關。由於垂體激素分泌廣泛,患者常以「生長發育遲緩、反覆低鈉昏迷、低血糖、性腺功能缺失」等非特異症狀就診,容易被誤診為單一內分泌疾病。
經過治療,李明的低鈉血症得到糾正,精神症狀顯著改善,已順利出院。根據醫院計劃,患者將長期接受相關激素替代治療及定期追蹤,早日回歸日常生活。
醫師提醒,垂體柄阻斷綜合症屬於罕見病,男性和女性均可發病,可能隨著年齡增長出現不同的臨床表現,需要做磁共振檢查才能確診。近年來報導該病的文獻增加,但仍有相當多的患者未能及早診治,導致成年後面臨嚴重的健康和生育問題。對於自幼有生長發育異常的孩子,應及時到大醫院兒科和內分泌科就診,儘早補充各種激素、促進生長發育,真正做到早發現、早治療。
文章授權轉載自《中天新聞網》,按此查看原始文章











