Denis正接受TTFields治療。
Denis希望女兒可好好讀書,快樂生活。
「今年的父親節,也許不能和女兒一起慶祝了。」現年48歲的Denis去年不幸確診膠質母細胞瘤(GBM),正在香港接受治療,因疫情爆發後有隔離規定,可能無法與居住在內地的愛女共度父親節。
臨床腫瘤科醫生吳雲英表示,腦腫瘤在香港並不常見,每年新症約200宗,而GBM是其中一種最具侵襲性的惡性腦腫瘤,即使接受治療,病人平均存活期亦僅為一年。「腦腫瘤成因不明,初期病徵亦不明顯,例如頭痛、頭暈、言語不清、記憶力和平衡力變差等,很容易令人忽略。」
曾誤診中風
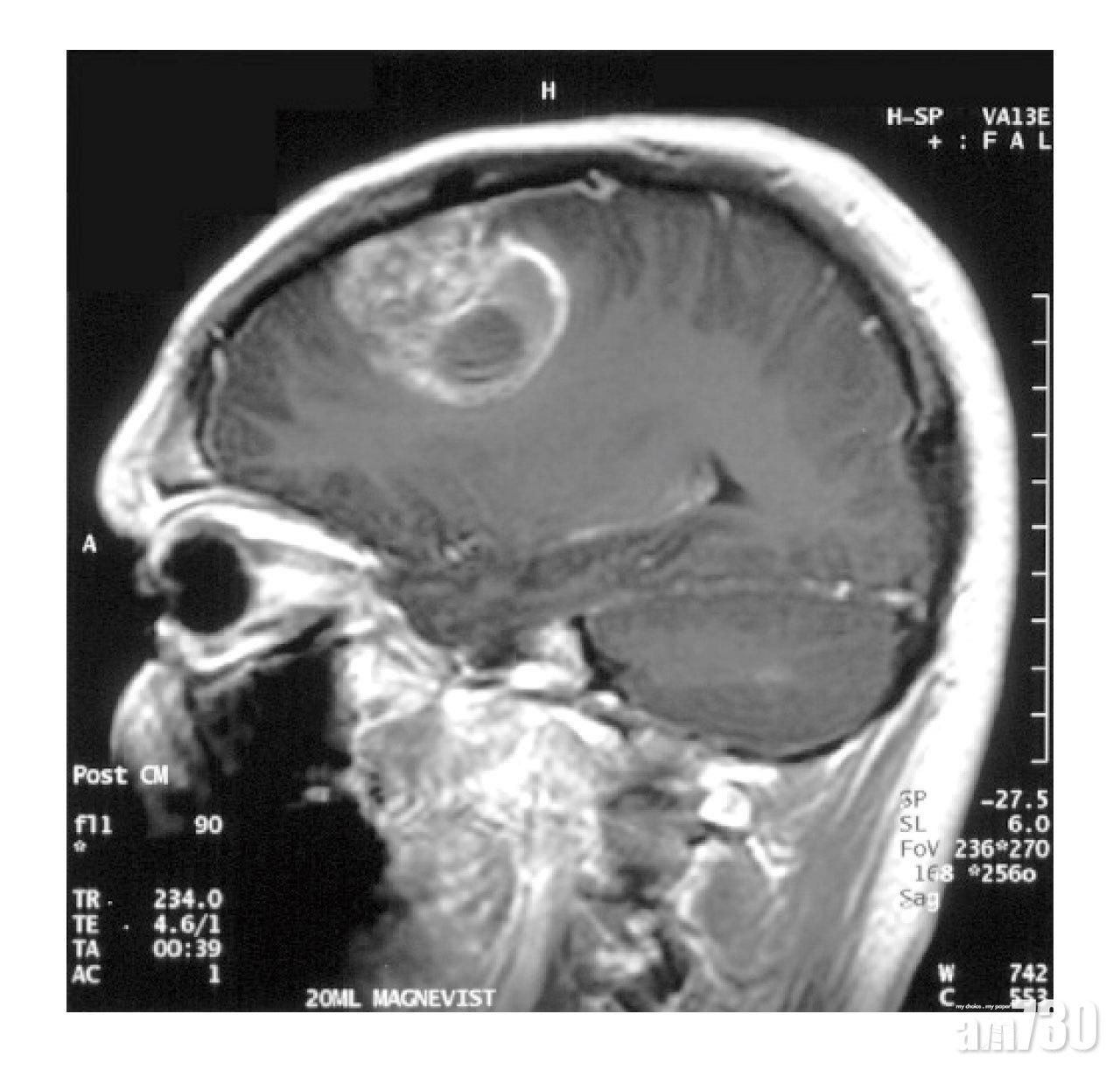
Denis有一日工作時突然口齒不清,嘴巴也歪了,求醫後被診斷為中風,醫生決定動手術清除他腦中「血塊」。誰想到Denis顱內的「血塊」原來是腫瘤,而且是第四期GBM。驟然驚聞噩耗,所有家人都憂心忡忡,他反而是最冷靜的一位。「太太最初難以接受,很怕才7歲的女兒突然之間失去父親,一想起就哭。我就覺得有病就想辦法醫,家人的支持可以說是我對抗癌魔的一大動力。」Denis了解到GBM治愈率低、復發率高,但只要有一絲希望,任何治療他都願意嘗試。
存活期延長逾倍
吳雲英解釋,「惡性腦腫瘤生長快、復發率高,以GBM為例,以往接受治療後存活時間超過5年的病人只有5%。醫生會按病人的身體狀況、腦腫瘤範圍與位置等制訂最合適的組合式治療方案,通常先以外科手術切除腫瘤,再用放射治療、化療、標靶藥物等輔助治療,以延長病人存活時間。最新還有一種針對GBM的『腫瘤電場治療』(TTFields),利用特定頻率的正負極電場,干擾並阻礙癌細胞的分裂,抑制膠質母細胞瘤的生長,再令受影響的癌細胞死亡。」
病人只需要在頭皮貼上4塊電極貼,接駁電池組,每天維持最少18小時,便能達到治療效果,而且只針對病人膠質母細胞瘤的位置,亦不會產生副作用。外國有數據顯示,43%接受TTFields配合傳統化療的GBM病人存活時間超過兩年,比只接受傳統治療方案的多12個百分點。
腫瘤縮小
Denis表示,「知道這是提高存活機會的一種新療法,最後決定一試。」Denis在使用TTFields期間同時服用化療藥物,去年10月檢查後發現腫瘤縮小了,令他更有信心。「治療期間沒甚麼不適,可以照常生活和工作,女兒還很主動要幫我換頭貼和整理電線。如果幸運地可以多活幾年,期望她能好好讀書,每天也能無憂快樂地生活。」Denis患上GBM雖然不幸,但他積極樂觀的心態,又令治療透出絲絲曙光。
吳英雲指會因應GBM患者身體情況,制訂最合適的組合式治療方案。
GBM生長快,而且復發率高。









