腳後跟痛或患哈格倫氏變形?
只是一塊小小的骨頭變形增生,便可能令喜愛運動的人士感到痛苦、提不起勁——它便是出現在腳跟骨的「哈格倫氏變形」。中大醫學院矯形外科及創傷學系臨床助理教授、骨科專科醫生凌家健指,不少人會忽視此症而影響工作、社交等,其實治療方法很簡單,復康亦很快,宜趁早解決問題。
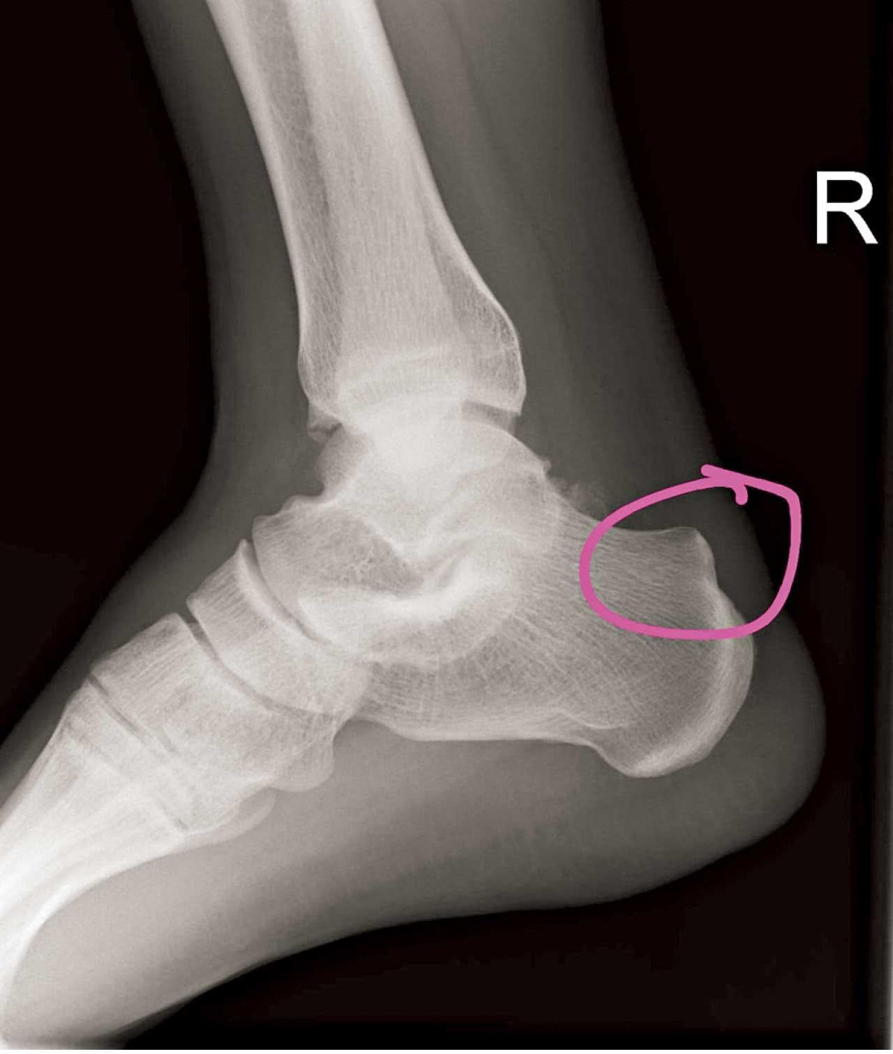
哈格倫氏變形是指腳跟骨有骨質增生,外觀上於腳後跟外側上方明顯隆起。凌家健指此症成因並不完全明確,或與家族病史有關係,而長跑人士、多做運動、足弓較高的人都會有較高風險患上哈格倫氏變形,「一個較特別的情況是,即使患者的腳跟骨都有明顯凸起增生,但只有部分人感痛楚,另一部分則完全沒有病徵,仍未了解為何有此現象。」
凌家健指哈格倫氏變形與阿基里斯筋腱病變容易混淆,兩者亦有關連。
易混淆阿基里斯筋腱病變
哈格倫氏變形的徵狀與阿基里斯筋腱病變相似,甚至兩者互為有關。凌家健解釋,它們的徵狀一般是腳後跟會痛、有時腫脹,在運動後會誘發不適,「而兩者的分別是,哈格倫氏變形是腳跟骨較高位的骨凸起,而阿基里斯筋腱病變則為筋腱與腳跟骨的連接處腫脹並鈣化,使腳跟骨變大。」
如果沒有及時處理哈格倫氏變形,該位置會長期刺激阿基里斯筋腱,引致附近的軟組織如滑囊發炎,甚至誘發阿基里斯筋腱病變,即筋腱發炎、退化、鈣化變弱,繼而容易撕裂。
避免誘發痛楚動作
凌家健建議,有病徵時應適當求診檢查,作出清晰診斷,「患者首先要減少或者避免會誘發痛楚的動作,有時候更換一些緩震較好、腳跟位較高的鞋,又或使用適合的鞋墊會有幫助。保守治療會採用消炎止痛藥,配合小腿阿基里斯筋腱的伸展動作,以及強化小腿的離心收縮訓練,都是有效的治療方案。」
哈格倫氏變形的腳跟骨上方會凸起,或引致痛楚。
微創手術
當保守治療效果未如理想,便可能要考慮手術。凌家健續指,手術原理離不開磨走凸出的骨頭,而大部分骨科醫生都會採用微創方法去處理,「透過關節鏡,清除患處附近的疤痕、發炎組織,甚至滑囊,再打磨平滑跟骨的位置,便可為患者解除痛楚。」有時候這手術會連同其他手術同時進行,最常見便是阿基里斯筋腱病變問題,一次開刀處理兩個問題,治療成效更佳,也減少整體復康時間。
復康時間快
「如果單純是哈格倫氏變形,術後復康時間也頗快,這屬於日間手術,早上完成後下午便可離開,即使住院也只是一晚。部分心急的患者,一般兩至三天後便可復工,但因傷口要包紮一至兩星期,建議最好可休息兩周後才全面復工。當然手術只是治療的一部分,之後的物理治療都很重要。」凌家健認為,哈格倫氏變形的治療很有效,復康亦快,有腳後跟痛的人士很值得去檢查和處理,免受痛症困擾。









