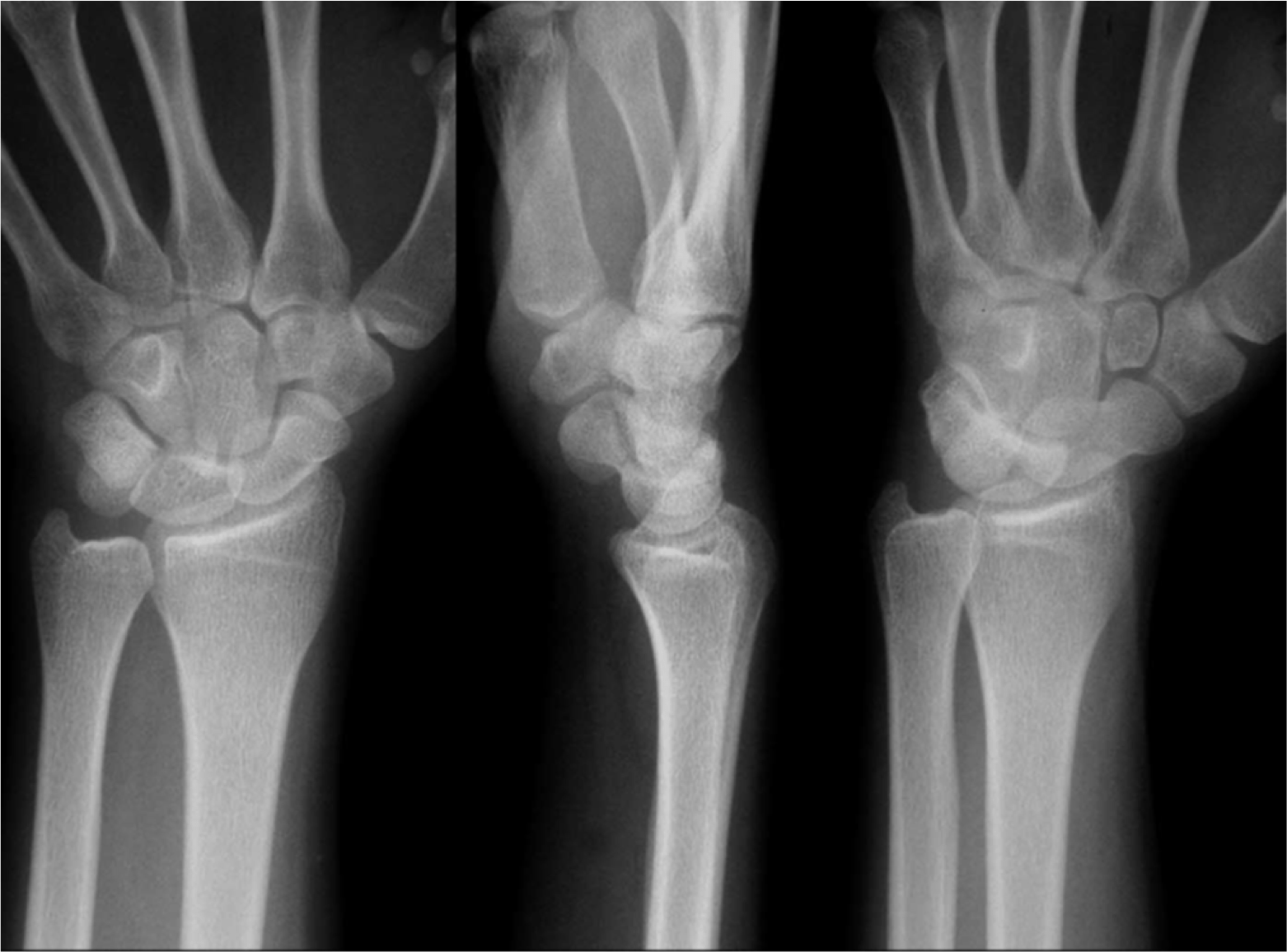
衛生福利部南投醫院郭俊毅物理治療師指出,大部分人跌倒時反射性手撐地,容易造成腕部的遠端橈骨骨折、舟狀骨骨折、月狀骨不穩定伴隨腕部甚至手肘處的韌帶受傷。
45歲林姓婦女駕電單車返家,由於穿著寬褲,停車落大架時,寬褲的褲管不慎被勾到,整個人便跟著電單車一起摔倒,當下她下意識左手撐地,左手腕紅腫疼痛,就醫之後確診為「舟狀骨骨折」。
找出腕部骨折原因 X光搭配超聲波診斷
台灣衛生福利部南投醫院郭俊毅物理治療師指出,大部分人跌倒時反射性手撐地,容易造成腕部的遠端橈骨骨折、舟狀骨骨折、月狀骨不穩定伴隨腕部甚至手肘處的韌帶受傷。
郭俊毅物理治療師表示檢查的方式有徒手檢查、X光及超聲波等來確定是哪個部位、哪種方式損傷。
檢查的方式有徒手檢查、X光及超聲波等來確定是哪個部位、哪種方式損傷。
治療舟狀骨骨折 嚴重程度決定是否手術
舟狀骨骨折有時難以診斷,且如果不妥善處理容易造成骨骼遲愈或不愈合而發生骨骼缺血性壞死的情形。當診斷出確定為遠端橈骨骨折,其治療方式依嚴重程度分為手術及非手術治療,手術即使用內固定植入物讓骨頭愈合,而非手術治療則採用徒手復位加上石膏或副木固定,根據愈合程度來決定拆除石膏的日期。
舟狀骨骨折有時難以診斷,且如果不妥善處理容易造成骨骼遲愈或不愈合而發生骨骼缺血性壞死的情形。
復健治療減少疼痛 並維持手部功能
復健治療的部分,郭俊毅治療師說明,復健科會藉由按摩手法及患者主動的幫浦運動來降低腫脹及疼痛情形,可以搭配冰敷加速效果,並藉由被動關節的活動來減少因為石膏固定太久而造成的關節僵硬攣縮的問題,以維持手部功能正常化;及加強主動關節活動來增加肌力讓患者早日回復到正常的生活。
【本文獲「健康醫療網」授權轉載。】









