免卻全身麻醉 心臟結構手術 更安全
一些結構性心臟病,一般都需要做手術治療。為了看清楚心臟結構,便會採用經食道超聲波作術前檢查、術中監察及術後評估。惟此方法必須全身麻醉,並非所有患者都適合。最新引入香港有4D心內超聲波(ICE),毋須全身麻醉之外,影像亦更清晰,有助提升手術精準度。
香港港安醫院—司徒拔道資深護師朱國豪表示,結構性心臟病指心臟的瓣膜、壁、腔室或肌肉,結構或者功能存在異常而引致的心臟病,「瓣膜類常見二尖瓣或三尖瓣倒流;部分患者先天出現結構問題,如卵圓孔未閉症、心房間隔缺損等。」
(左起)鄭長華、崔先生、朱國豪、香港港安醫院—司徒拔道心臟超聲波技師李巧然。
術前檢查術後評估
現時常用的治療方案中,常要用到經食道超聲波心臟檢查,用作評估心臟功能及結構、協助確診術前的診斷、手術時監察心臟功能,並評估外科手術的成效。這些都是體外超聲波未能做到的。朱國豪續指,「不過,經食道超聲波需要全身麻醉,對長者的風險較高,而有吞嚥困難、曾做咽喉或食道手術、食道狹窄和食道出現靜脈曲張者亦不適合使用。」
心臟超聲波清晰度大為提升。
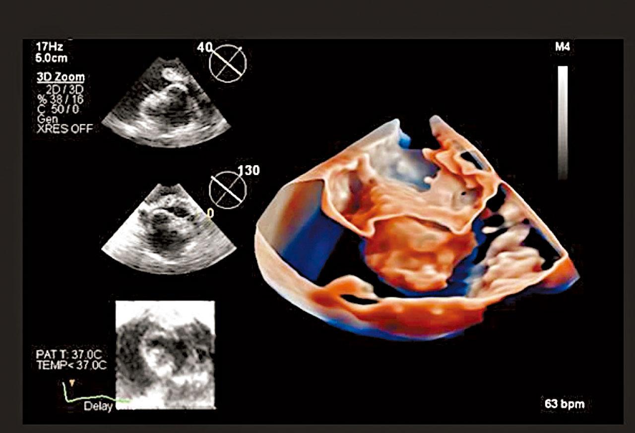
高質素3D移動圖像
最新引入香港的4D ICE,可透過導管進入心臟,直接觀察心內結構;而且能夠生成高質素3D移動圖像,即使血流情況亦一目了然。成像質素更高,能提供更仔細的心臟結構細節,有助醫生處理更複雜的個案;左心耳封堵術、二尖瓣修復、三尖瓣置換,以及治療卵圓孔未閉症和心房間隔缺損的手術都可應用。香港港安醫院—司徒拔道心臟科專科顧問醫生鄭長華舉例,「在三尖瓣的手術中,4D ICE便可突破經食道超聲波及以往2D ICE的局限,因為可實時得到更清晰的畫面,在瓣膜抓取(leaflet grasping)過程可更順利。」更重要是患者毋須全身麻醉,減低了手術風險。
助微創處理二尖瓣問題
李女士是本港首位採用4D ICE協助治療二尖瓣倒流的患者。她於4至5年前發現心臟有雜音,求醫確診二尖瓣倒流。病情影響其生活,步行稍遠的距離便會出現氣促。雖然有依照指示用藥,但氣喘情況漸趨嚴重,醫院建議她做心臟開胸手術。惟患者年事已高,手術風險亦高,最後她沒有接受手術。患者家屬崔先生指,近半年患者心臟情況轉差,腳出現水腫問題;晚上睡覺不時要坐起來,大大影響睡眠質素。最近患者終於在4D ICE的協助下接受微創手術,處理二尖瓣倒流問題,徵狀得以改善。



















