幾乎所有多發性骨髓瘤病人都會復發,且隨著每次復發,間隔縮短、腫瘤負荷增加,疾病惡化與死亡風險也會攀升。
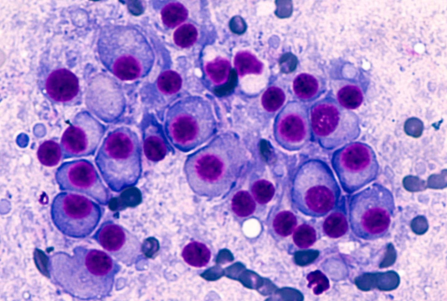
一聽到多發性骨髓瘤,不少人誤以為是長在骨頭的腫瘤,但其實它是一種骨髓內漿細胞惡性變化的腫瘤,屬於血液腫瘤的一種。幾乎所有多發性骨髓瘤病人都會復發,且隨著每次復發,間隔縮短、腫瘤負荷增加,疾病惡化與死亡風險也會攀升。所幸,現今多發性骨髓瘤用藥也有相當大的突破性進展,為這個被視為難以治療的疾病帶來更多希望,達到延緩復發並增加存活時間的目標。
多發性骨髓瘤好發於年長者 常以「CRAB」四大症狀表現
臺北榮民總醫院內科部血液科主治醫生蔡淳光醫生指出,多發性骨髓瘤發病從50歲後慢慢跟著年齡上升,平均確診年齡為70歲左右,屬於一種老年人疾病。臨床上,會將其典型4大症狀合起來稱作CRAB(蟹),C代表高血鈣(Hypercalcemia)、R代表腎功能變差(Renal failure)、A代表貧血(Anemia)、B代表骨頭病灶(Bone lesions)。
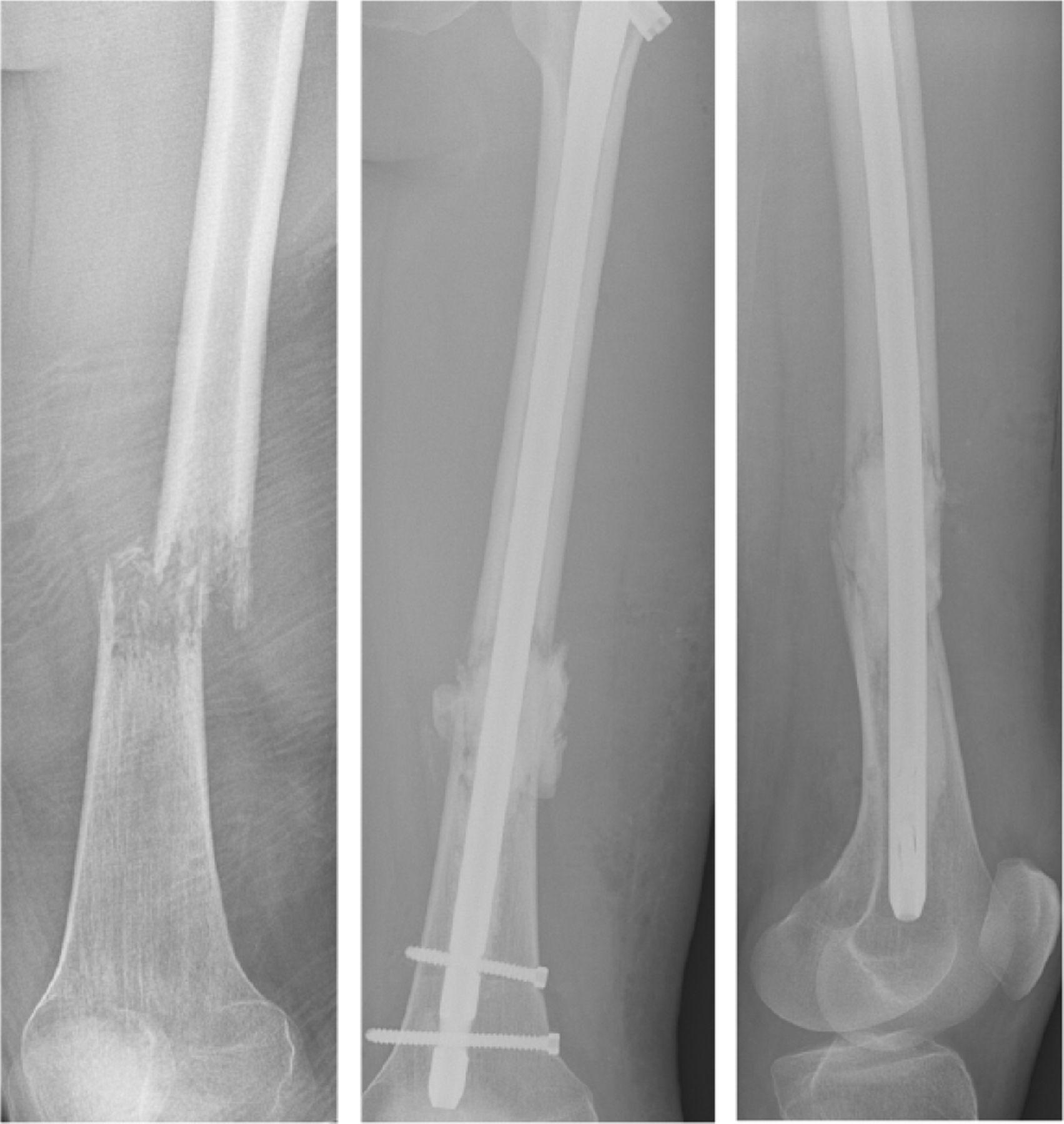
其中貧血是最常見的症狀,若出現頭暈、全身無力就要有所警覺。值得注意的是,多發性骨髓瘤可能侵犯到骨頭,造成骨骼破壞,所以不少人是在骨折就醫才發現罹病。
多發性骨髓瘤可能侵犯到骨頭,造成骨骼破壞,所以不少人是在骨折就醫才發現罹病。
多發性骨髓瘤無法根治、易復發 首次治療非常重要
多發性骨髓瘤沒有辦法根治,且復發性高,每次有效治療的時間會遞減,因此,自體造血幹細胞移植是當前較理想的治療策略!不過,並非每個人都能如此幸運符合移植條件,蔡淳光醫生說,若一開始診斷太晚或未能及時用藥,當器官已受損、腎功能已經變差,就很容易發生感染,使後續的治療變得更加棘手。此外,治療藥物所產生的各種副作用,也是骨髓瘤治療中隨時都要注意的,成為治療多發性骨髓瘤的一大挑戰!
因此,「首次」治療非常重要,醫生會根據病人的年紀與身體健康狀況,從而選擇合適的治療方式,以降低併發症如感染、神經病變等,達到疾病穩定控制、延緩復發、提升存活率之目標。
一聽到多發性骨髓瘤,不少人誤以為是長在骨頭的腫瘤,但其實它是一種骨髓內漿細胞惡性變化的腫瘤,屬於血液腫瘤的一種。
多發性骨髓瘤現行治療4大方式 組合療法為治療主流
以往化療藥物是多發性骨髓瘤的第一線選擇,但因為罹病者多為老年人,考量病人的年紀及身體耐受性,治療常有所限制,使整體的治療成效不佳。但是,隨著精準醫療時代來臨,多發性骨髓瘤的治療選擇更多元,包括蛋白酶體抑制劑、免疫調節藥物、類固醇、單株抗體等四大類,都是常見的治療手段,無論是治療疾病本身,或者預防併發症都有相當大幅度的進步,病人的存活率也有所改善。
蔡淳光醫生表示,在接受骨髓移植前,會使用蛋白酶抑制劑、免疫調節藥物以及類固醇,搭配組合成「三合一療法」作為誘導治療,減少癌細胞數量,提升病人移植機會與成功率。但若病人具有高風險復發因子,疾病穩定期就會縮短,治療難度也會跟著提高,此時就需採更積極、更有深度的治療方式。
四合一加強治療深度
根據數據顯示,光是一線治療到二線治療間,約有二到三成病友死亡而無法接受到下一線治療。蔡淳光提及,相較於三合一療法,目前國際治療趨勢可於第一線治療加上單株抗體,採用「四合一療法」,期能讓病人獲得更深度治療,延緩復發,拉長存活年數。
目前國際治療趨勢可於第一線治療加上單株抗體,採用「四合一療法」,期能讓病人獲得更深度治療,延緩復發,拉長存活年數。
出現疑似症狀盡早就醫 遵從醫囑有效控制
蔡淳光醫生也分享早期診斷及積極治療的重要。門診間一名50歲男性患者,因背痛、貧血、骨頭痛就醫,進一步檢查發現罹患多發性骨髓瘤,在接受「三合一療法」的積極治療後,身體狀況進步,之後順利進行自體幹細胞移植,目前疾病狀況穩定,已返回工作崗位並於門診定期追蹤。現今隨著治療的進步,部分患者若能在確診的第一時間就加入單株抗體使用,以四合一療法加強治療深度,在早期能清除大部分骨髓腫瘤,達到有效控制疾病的目的,提前為後續骨髓移植做好準備。
蔡淳光醫生提醒,多發性骨髓瘤症狀不具特異性,很容易輕忽,通常發現大多已經錯過治療黃金時間,使治療過程較為艱辛且預後效果不盡理想,所以早期發現是最重要的關鍵。因此,若有高血鈣、貧血、骨頭痛、腎功能變差等症狀出現,建議應及早就診確認病因,以提高治療效果。
【本文獲「健康醫療網」授權轉載。】









