手足口病是一種常見於兒童的疾病,通常由腸病毒如柯薩奇病毒和腸病毒71型(EV71)引起。腸病毒71型引致的手足口病備受關注,因為它較有可能引致嚴重併發症,如病毒性腦膜炎、腦炎及類小兒麻痹症癱瘓等,甚至死亡。香港的手足口病高峰期一般為5月至7月,亦有可能於10月至12月出現較小型的高峰期。
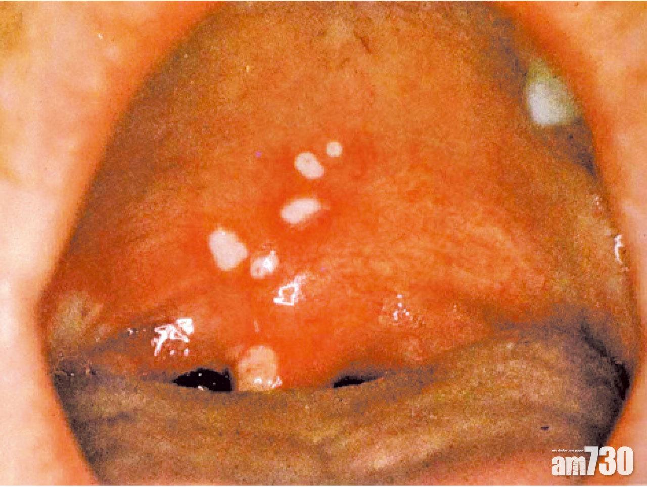
衛生署衛生防護中心黃凱基醫生指出,手足口病的潛伏期約為3至7天,「病發初期通常會出現發燒、食慾不振、疲倦和喉嚨痛的徵狀。發燒後一至兩天,口腔或出現疼痛的水疱,這些水疱初時呈細小的紅點,然後會形成潰瘍。潰瘍通常位於舌頭、牙肉以及口腔的兩腮內側。另外,手掌及腳掌,甚至臀部和生殖器亦會出現不痕癢及有時會帶有小水疱的紅疹。」手足口病患者亦可能沒有病徵,或者只出現皮疹或口腔潰瘍等病徵。大部分患者在7至10天內自行痊愈。
發病首周傳染性高
手足口病主要透過接觸患者的鼻或喉嚨分泌物、唾液、穿破的水疱或糞便,或觸摸受污染的物件而傳播。黃凱基提醒,「患者在病發首星期最具傳染性,而病毒可經由其糞便排放達數星期。」患者應多喝水和有充足休息,同時亦可用藥物紓緩症狀。痊愈後,雖然患者會對相應的腸病毒產生抗體,但日後仍可感染由其他腸病毒引致的手足口病。
勤洗手助預防
現時為止,仍未有疫苗可有效預防手足口病,如要有效預防感染,最重要是保持良好的個人及環境衛生。大家應經常保持雙手清潔,洗手時以梘液和清水清潔,搓手最少20秒,用水過清並用抹手紙或乾手機弄乾。黃凱基補充,「如沒有洗手設施,或雙手沒有明顯污垢時,使用含70%至80%的酒精搓手液潔淨雙手亦為有效方法。咳嗽或打噴嚏時應用紙巾掩蓋口鼻,不要共用毛巾或其他個人物品。」
此外,大家亦要經常清潔和消毒常接觸的表面,如傢俬、玩具和共用物件。使用1:99稀釋漂白水消毒,待15至30分鐘後再用水清洗並抹乾。可見的污物,如呼吸道分泌物、嘔吐物或排泄物則應用吸水力強的即棄抹巾清理,然後用1:49稀釋漂白水消毒被污染的地方及鄰近各處,最後以水清洗並抹乾。
若患病應留家休息
為免把病毒傳染給別人,患病的兒童應該避免上學或參加集體活動,直至所有水疱變乾。如感染是由腸病毒71型引致,患者完全康復(即發燒及紅疹消退,以及所有水疱乾涸及結痂)後應留家休息多兩星期才回校上課。父母要細心觀察兒童的病情。如出現持續高燒、神情呆滯或病情惡化等情況,患者應立即求醫。
患者口腔或出現水疱,初時呈細小的紅點,然後會形成潰瘍。
黃凱基指,保持個人衛生可助預防手足口病。









