視網膜脫落有可能導致失明。
眼尾見到閃光原來可大可小!眼前突然出現閃光,不少人普遍會以為是眼睛疲勞或受到外來光源所影響,以為是平常不過的問題。其實閃光有可能是玻璃體老化或視網膜穿孔,甚至視網膜脫落的警號,嚴重後果可導致視力永久受損甚至失明!
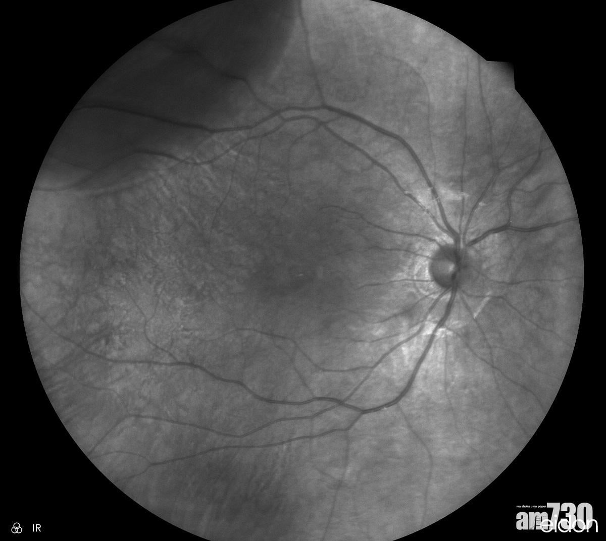
視網膜穿孔是導致看到閃光成因之一,曾有中年患者發現一邊眼尾不斷看到閃光,誤以為是疲勞所致,幾經拖延後才求診,經眼科醫生檢查後才發覺病情嚴重,其視網膜側出現裂孔,導致玻璃體出血;幸而尚算發現得早,醫生即時採用激光治療修補視網膜。治療後患者需一至兩星期才能完全復原,期間須停止劇烈運動,慎防視網膜脫落。醫生指若繼續延誤治療,視網膜側面的裂孔會持續擴大導致視網膜脫落,屆時便需以手術修補,若再延遲治療更有可能導致失明。
除視網膜穿孔外,偏頭痛和壓力大也可導致閃光出現。曾有一名三十多歲的患者求診,他因工作需要長時間使用電腦,某天工作期間突然一隻眼看到強光,且強光不斷變大及變光,維持約15分鐘後消失,之後視力恢復正常。經醫生檢查後發現眼睛功能一切正常,由於患者過往有偏頭痛病史,估計是次發病是睡眠不足及工作壓力大有關。
閃光問題可大可少,有可能是視網膜出現裂孔甚至與視網膜脫落的先兆,因此切忌諱疾忌醫,應盡快找眼科醫生檢查,及早作出適當治療。如排除是眼睛疾病,患者長期受偏頭痛、失眠及壓力等問題困擾,便會轉介到家庭科醫生跟進,若閃光情況頻密出現和持續頭痛,並有嘔吐、手腳無力等徵狀,或有需要轉介至腦科醫生作詳細檢查及治療。
作者為眼科專科醫生陸藹晶
偏頭痛患者可能會出現閃光。(網上圖片)









