血癌有多種,包括急性白血病、慢性白血病、淋巴癌及骨髓癌;較常見的慢性白血病有「慢性髓細胞白血病」(Chronic myeloid leukaemia)及「慢性淋巴細胞白血病」(Chronic lymphocytic leukaemia)兩種,後者較多影響長者,平均年齡60歲以上。
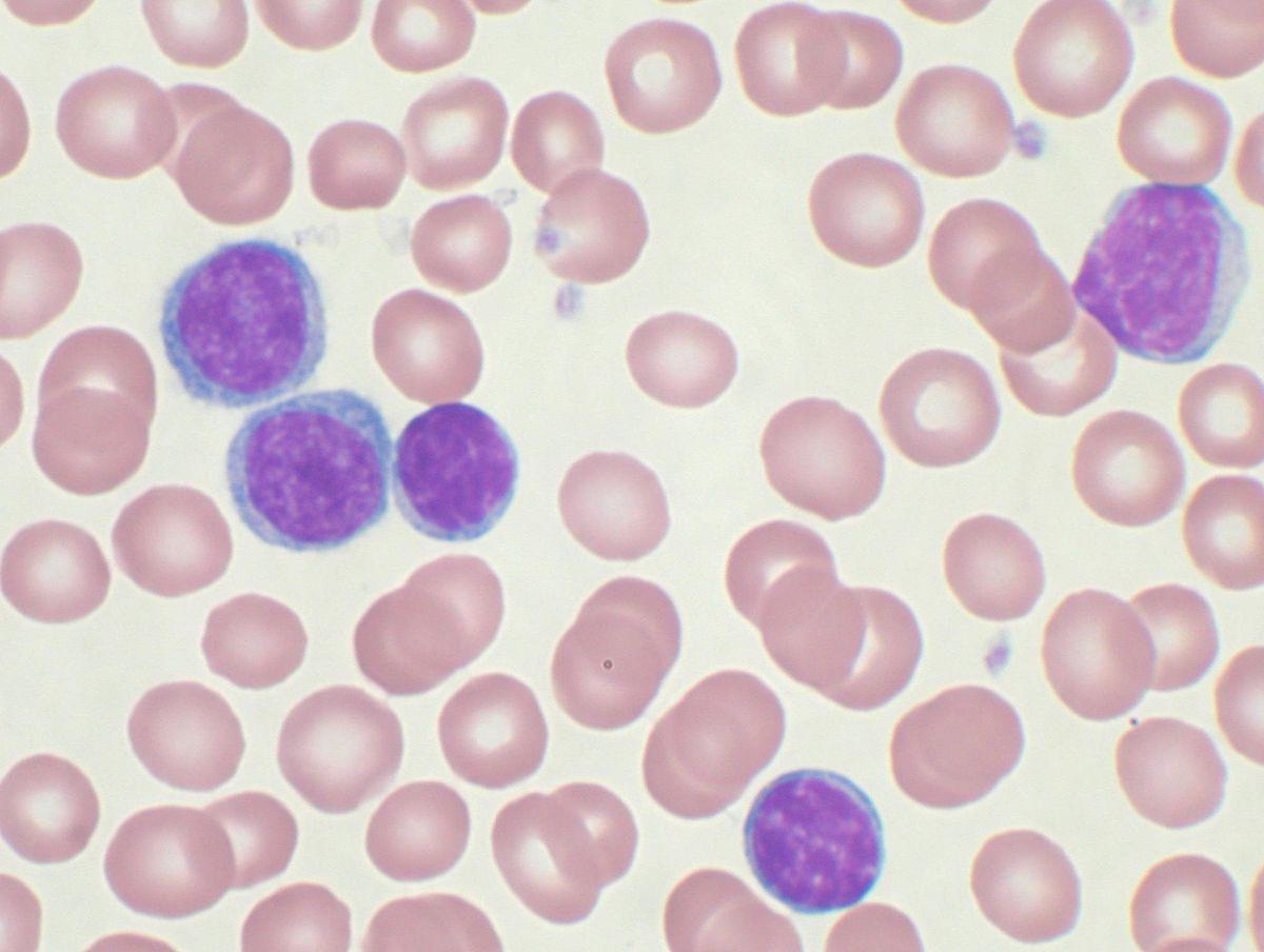
「慢性淋巴細胞白血病」的病徵主要是白血球數量上升;淋巴細胞出現癌變,數量大增,並滲透骨髓,骨髓穿刺檢查可確診。除了慢性淋巴白血病,「淋巴癌」入侵骨髓,亦可導致血液淋巴細胞數量增加;其他還有病毒感染,如Epstein Barr virus和Cytomegalovirus。
慢性淋巴細胞白血病令全身淋巴腺、脾臟及肝臟脹大,並可導致貧血;血小板數量下降,流血難止。癌細胞數目上升反令正常「中細胞」(Neutrophil)數目下降,患者易受感染。免疫功能失調,「免疫球蛋白」(Immunoglobulin)減少,令感染風險進一步增加;又或出現「自體免疫疾病」(Autoimmune disease),包括「免疫性血小板減少症」(Immune thrombocytopenia)及「自體免疫溶血性貧血」(Autoimmune haemolytic anaemia)。部分病者的癌細胞分泌異常「免疫球蛋白」,又稱「副蛋白」(Paraprotein)。









