盛載著不少香港人回憶的珍寶海鮮舫,不但敵不過經濟周期的逆流而停業,更在茫茫大海上傾覆沉沒。加上近日一宗在颱風下船身斷成兩截的海難事故,都令筆者聯想起手腕的舟骨,一旦骨折也恍似船身截斷。
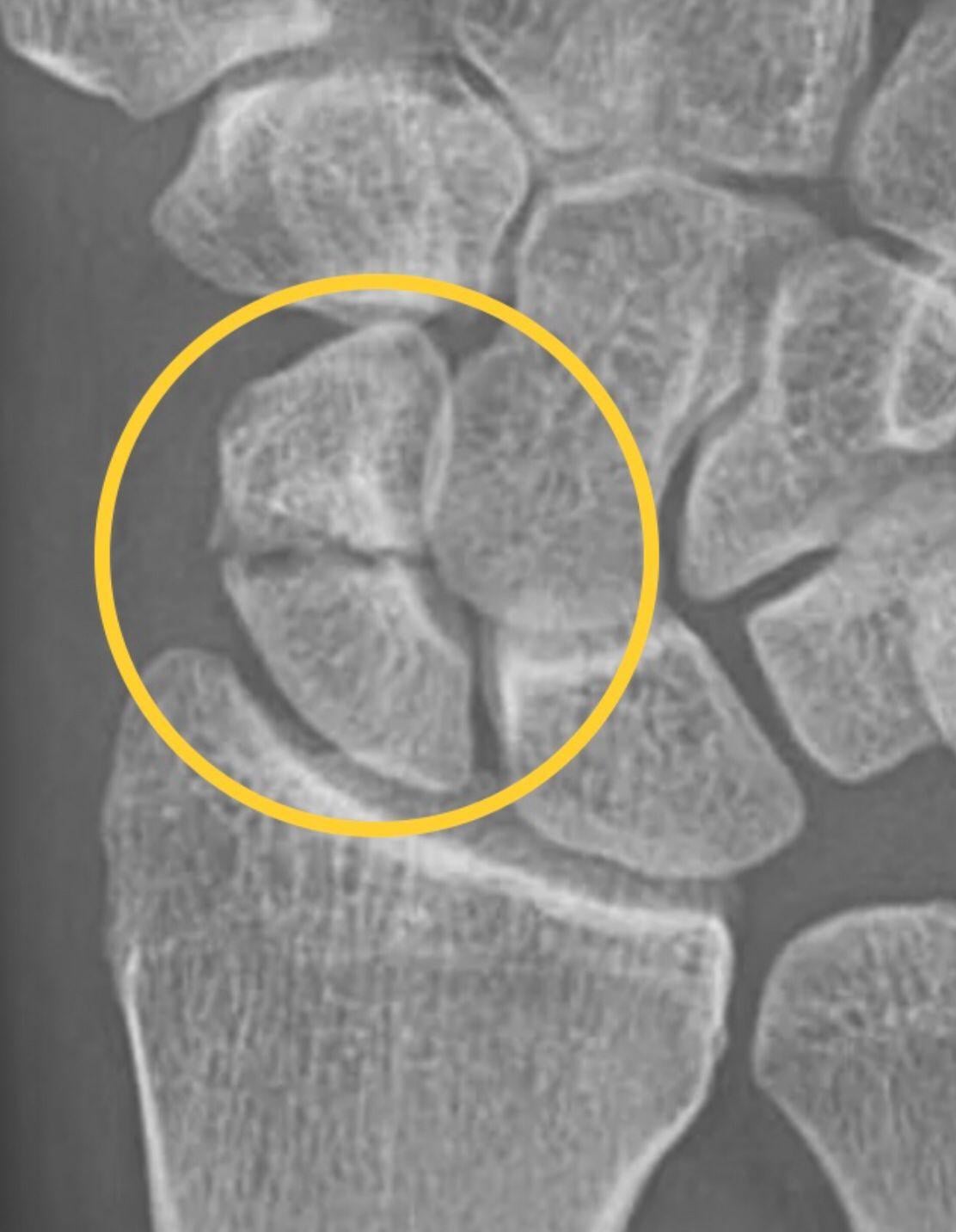
我們的手腕有八塊腕骨,當中因形狀似船而得名的舟骨,是最容易出現骨折的腕骨。舟骨位於拇指底部與手腕橈骨之間,當意外跌倒時用手撐地,除了可導致遠端橈骨骨折外,亦可造成舟骨骨折。骨折後,因不少病人只感到腕部隱隱作痛,往往延誤了求醫;但另一方面,有近三成骨折在早期X光下卻不甚明顯。故此就疑似個案,須及早照電腦掃描或磁力共振來斷症,且暫時當骨折處理,先以石膏來固定手腕,以防隱性骨折在毫無保護下出現移位。
然而舟骨的獨特之處,在於它主要的血液供應,來自逆行的橈動脈分支,猶如「逆水行舟」從舟骨遠端流向近端。舟骨骨折較多發生於舟骨中段,但倘若骨折位置愈靠近近端,便愈容易因供血中斷而併發成骨折不愈合、缺血性壞死,甚至出現恍如沉船的晚期塌陷。此外,因舟骨與附近腕骨互相連繫,對日常手腕活動尤其重要。倘若骨折在移位下愈合,或是因缺血而壞死,也會像「火燒連環船」般牽連毗鄰腕骨,造成腕關節退化,帶來疼痛和僵硬等問題。
在治療舟骨骨折的航道上,假如骨折沒有偏離軌道,病人可選擇保守治療,以石膏來固定手腕兩個月或以上,直至骨折愈合。但拆石膏後手腕會變得僵硬,需靠物理治療來恢復關節靈活。至於不穩定或已移位的骨折,或是近端的骨折,則須接受復位及內固定手術,用螺絲來固定舟骨。假如骨折後延誤求診,骨折出現不愈合及壞死的風險便相應大增,手術時更需要加上植骨來提高骨折的愈合率。
珍寶海鮮舫的沉沒,象徵著一個時代的逝去。雖然不少巿民對沉船的來龍去脈仍抱有疑問,但有兩方面是我們可以肯定的:第一,舟骨骨折須及早治療(用口語來表達即是:都係顧掂手腕裡面依艘「船」先啦!」);第二,人生與其隨波逐流,倒不如破釜沉舟,靠雙手來親自掌舵,或者你我也可以早日上岸。
作者為骨科專科醫生









