《角落生物》裡的「蜥蜴」,原本是倖存的恐龍,因怕被人類發現,而偽裝成蜥蜴來掩飾身份。既然科學家憑著恐龍化石,得知牠們曾存活於世上,醫生也靠著X光,發現某些足痛源自於足部附生骨。
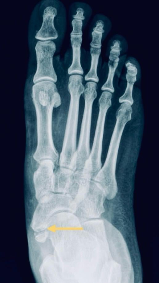
附生骨(Accessory bones)是骨骼結構的發育異常,成因是軟骨在骨化的過程中,並未與附近的骨骼主體合而為一,結果變成了獨立的小骨塊。雖然附生骨可以在骨骼的每個角落裡出現,但常見而可致痛的大都位於足部。其中由足部內側的舟狀骨衍生出來的附生骨:「副舟狀骨」,原來像蜥蜴般有保護色,隱藏在一至兩成人的足內,當中以女性為主,通常在青春期、骨骼成型前發病,惟大多數人都沒有明顯症狀。
年輕患者經常參與跑步和跳躍等運動時,脛後肌腱便會重複地拉扯副舟狀骨,逐漸產生肌腱和軟骨炎症,令足部內側腫脹和痛楚。
負責將腳掌內翻和蹠屈,並維持足弓的脛後肌腱,本應連接在舟狀骨上,但卻變成與副舟狀骨結連,因此當年輕患者經常參與跑步和跳躍等運動時,脛後肌腱便會重複地拉扯副舟狀骨,逐漸產生肌腱和軟骨炎症,令足部內側腫脹和痛楚。若不及時治療,副舟狀骨日後或可併發出脛後肌腱炎,和功能障礙而導致扁平足。通常X光檢查已足夠為副舟狀骨斷診和分類,但磁力共振可用來排除其它病因。
治療以保守方法為主,透過休息、冰敷、消炎藥和物理治療,急性炎症都可得以紓緩。選擇較闊身的鞋,並加上承托足弓的鞋墊,亦可減少運動引致的痛症發作。對於痛楚嚴重而持續的患者,便需要短暫佩戴矯形器,甚至打石膏。通常痛症會隨著骨骼發育完成而自愈,因此手術治療(如副舟狀骨切除術或關節融合術)並不是主流方案。
或許你會認為,不願隨波逐流的你,是社會上的異類,像附生骨一樣,本應是絕種的恐龍生物。只是為了生存下去,你才披上蜥蜴的保護色。但要是為了生活更好,而令自己由恐龍進化成變色龍,那麼世上還有甚麼角落,讓你可活出真我,留下化石來證明自己曾經存活過?
作者為骨科專科醫生洪亮斌









