上世紀位於舊啟德機場旁的九龍城寨,基於歷史遺留下來的管治問題,淪為充斥著黃賭毒的三不管地帶。當中以靜脈注射吸毒的隱君子,最容易因共用針筒而受感染,包括丙型肝炎、愛滋病、心內膜炎、皮膚感染、脊椎骨髓炎、椎間盤炎及腰肌膿腫(Psoas Abscess)等。隨著城寨清拆,城巿內的一大膿腫隱患亦得以消滅,但社區內的隱君子,卻久不久便因腰肌膿腫而需入院治療。
免疫力差屬高危
髂腰肌源於腰椎兩旁,由腰大肌及髂肌組成,伸延至骨盆並連接股骨小轉子。由於它充滿血液供應,也與脊椎和腹腔內臟鄰近,故此細菌既可透過靜脈注射吸毒,經血液而感染腰肌(原發性膿腫),也可先感染鄰近組織,繼而蔓延至此(繼發性膿腫)。至於本身免疫力較差的人士,例如患有糖尿病、腎衰竭和癌症等,都較易出現這種深層次感染。引致膿腫的細菌,以金黃葡萄球菌為「第一大幫派」,而結核菌則通常是「第二把交椅」。
膿腫之形成
腰肌一旦受感染而形成膿腫,便代表顯微鏡下的「黑白兩道」,曾經在這「圍城」內發生過互相廝殺。代表惡勢力的細菌,會產生毒素來破壞身體組織,而代表執法者的免疫系統,會派遣白血球去吞噬細菌,並製造對付細菌的酵素,但同時亦可溶解附近組織。廝殺過後,死去的白血球、細菌和身體組織會變成膿,而身體會增生纖維組織,形成膿腫壁(Abscess Wall)來包圍著膿,制止細菌進一步擴散,結果像建立九龍城寨般「久膿成腫」。
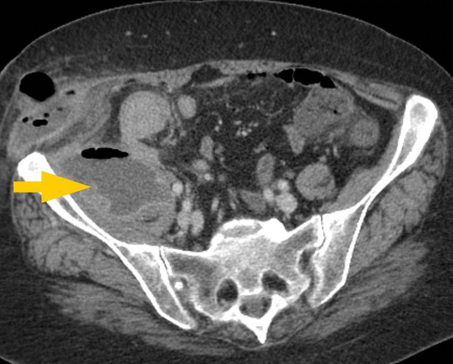
治療膿腫須介入性治療
與皮膚膿腫有「紅腫熱痛」這些肉眼可見病徵相比,腰肌膿腫因深入腰椎旁,起初症狀並不明顯。患者通常有發燒、腰痛或腹痛等症狀,痛楚或會放射至髖關節和大腿;而當膿腫沿著肌肉擴展至臗關節附近時,患者腹股溝也會出現腫脹。除了驗血檢查白血球和炎症指數外,最準確的檢查乃是照電腦掃描,並在影像導引下抽取膿來化驗。雖然患者須接受抗生素治療,但膿腫壁卻使白血球、抗體和抗生素這三者,都無法將細菌完全消滅。故此要剿滅這個「三不管」的細菌溫床,必須要介入性治療:首選以創傷性較少的影像導引下經皮引流術來放膿,但面對結構有如城寨房屋般複雜的多房性膿腫,便需要在全身麻醉下做切開引流手術。
到底昔日城寨裡,有沒有電影所塑造、行俠仗義的英雄(Hero)?還是只有躲在樓梯間,注射海洛英(Heroin, 俗稱白粉)入體內的道友?「There is no Hero in Heroin.」向毒品說不,不做白粉強,才是真英雄!
腰肌膿腫必須要介入性治療,首選以創傷性較少的影像導引下經皮引流術來放膿。









