當你發現小朋友的牙齒有點擁擠、咬合不正,是不是心想:「反正還在換牙,等長大再說吧!」但事實上,這樣的想法可能讓你錯過矯齒的「黃金治療期」!7歲左右是檢查早期矯齒需要的絕佳時機,如有需要,及早干預不僅能改善牙齒的排列,還能有效預防潛在的口腔問題。快來了解為甚麼早期矯齒治療是幫助小朋友「贏在起跑線」的關鍵吧!
早期矯齒治療是甚麼?
早期矯齒治療就像為牙齒建好「地基」。當小朋友 7 歲左右,恆齒開始萌出,牙齒和骨骼正處於快速成長階段,這是最佳的干預時機。矯齒醫生能根據小朋友的牙齒和下頜骨發展情況,及早調整問題,避免未來的更大麻煩。
就像一棵小樹苗,這時候稍微修剪,將來長成大樹會更挺拔健康。如果等到樹長歪了再來處理,可能就沒那麼輕鬆了!所以,愈早發現並處理牙齒問題,愈能為小朋友鋪設健康又燦爛的成長道路。
早期矯齒的四大好處
- 糾正咬合問題,讓牙齒「排整齊」
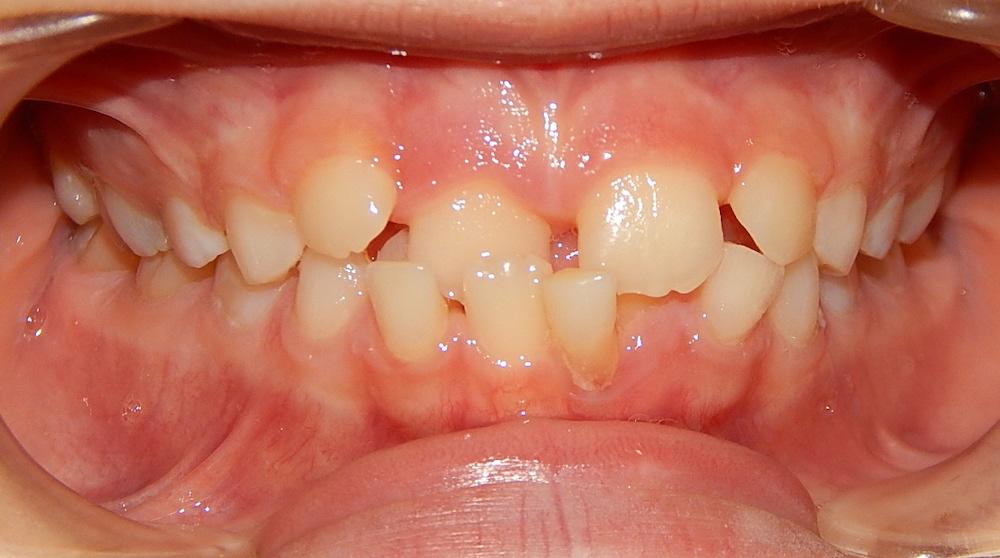
小朋友有倒咬牙(下排牙齒跑到上排前面)或哨牙(上排牙齒完全遮住下排)?早期治療能改善這些咬合問題,避免影響咀嚼能力和下頜骨的正常發育,還能讓小朋友的臉部輪廓更和諧。 - 幫恆齒「留位」,讓它順利萌出!
有時候,小朋友的乳齒因為蛀牙或意外過早「提前畢業」,導致鄰近的牙齒慢慢移動,佔據了原本屬於恆齒的空間。這時候,牙醫可以使用簡單的「空間保持器」,幫恆齒「留位」,確保它未來有充足的空間健康萌出。
另外,有些乳齒「留戀不去」,在該脫落時卻遲遲不退場,擋住了恆齒的生長的去路。定期檢查可以及早發現這些「逾期滯留」的乳齒,透過早期治療將它們妥善移除,讓恆齒可以順利萌出,避免未來需要更複雜的矯齒治療。簡單來說,早期處理就像為牙齒的「新成員」提前安排好理想的空間,讓每顆牙齒都能舒適地各就其位! - 戒掉壞習慣,讓牙齒走上正軌
長期吮手指、食奶嘴或推舌頭會讓牙齒出現開咬或排列不正,這些壞習慣如果不改正,可能會影響牙齒健康。早期治療能糾正牙齒問題,同時幫助小朋友擺脫不良習慣,讓牙齒健康成長。 - 後續療程更輕鬆
早期矯齒治療就像打好地基,將來進行第二階段牙套治療會更簡單,時間也更短,家長省心,小朋友更輕鬆!
小朋友有反咬合或交叉咬合問題,可能就需要矯齒評估了。
哪些小朋友需要早期矯齒?
如果你發現小朋友有以下問題,可能就需要矯齒評估了:
- 牙齒擁擠,排列不整齊:牙齒太多,恆齒擠不上位。
- 咀嚼困難:吃東西常咬到嘴巴,或無法正常咬合。
- 上下牙咬合不協調:出現反咬合或交叉咬合問題。
- 壞習慣影響牙齒:吮手指或推舌頭導致牙齒錯位。
小提醒:如果小朋友吃飯總愛用同一側咀嚼,或常反映咬到舌頭、嘴巴,這可能是咬合問題的徵兆,帶他去檢查就對了!
早期矯齒的治療方式
矯齒醫生會根據每位小朋友的情況量身制訂治療計劃,常見的方法包括:
- 空間保持器:乳齒過早脫落時,用於保持空間,確保恆齒有「房間」。
- 小型牙套或透明矯正器:針對輕微錯位的牙齒,調整得整整齊齊。
- 面罩:覆蓋臉部前方的裝置,幫助上頜骨向前發育,適合反咬合的小朋友。
- 頭帽固定式金屬牙套:外部固定裝置,用於減少上頜骨過度生長,改善哨牙。
治療通常為6至18個月,療程針對性強,效果顯著。早期矯齒後,如果需要第二階段的牙套治療,也會簡單很多。
矯齒醫生會根據每位小朋友的情況量身制訂治療計劃。
小小問答知識
- 反咬合和交叉咬合是甚麼?
反咬合是指下排牙齒比上排牙齒更突出,當嘴巴閉合時,下排牙齒「跑到」上排牙齒的前面,不僅會影響小朋友的臉形外觀,還可能導致咀嚼困難和下頜骨發育不良。
交叉咬合則是上下牙齒咬合錯位,上排牙齒「跑到」下排內側,或下排牙齒「跑到」上排外側。這種錯位咬合問題可能出現在門牙或大牙,嚴重時不僅影響牙齒功能,還會影響面部對稱。 - 家長如何判斷小朋友有反咬合或交叉咬合問題?
觀察小朋友的牙齒閉合狀態,如果嘴吧合上時上排牙齒無法正常蓋住下排牙齒,甚至出現下排牙齒「跑到」上排牙齒前面的情況,那可能是反咬合。而如果某些牙齒的咬合關係顛倒,上下牙齒像是「錯了位置」,呈現「你中有我、我中有你」的樣子,那可能是交叉咬合。 - 完成早期矯齒後,還需要再做矯齒治療嗎?
小朋友完成早期矯齒後,隨著身體的成長,可能在未來仍需進行第二階段的牙套治療。但因為早期治療已為牙齒發育打下穩固基礎,後續療程通常會更簡單、更快速,也減少不必要的複雜手續!家長可以放心,早期矯齒是為了讓未來的矯正之路更輕鬆!
早期矯齒 = 健康笑容的保證
早期矯齒治療就像給小朋友的人生開啟了一個「牙齒整齊、笑容燦爛」的 VIP 通道!別讓咬合不正、牙齒擁擠成為他們成長路上的絆腳石。7歲左右是矯齒的黃金期,現在就帶小朋友去做評估,早點發現問題、早點解決,省時又省心。讓我們一起為他們打造一口健康又自信的笑容,未來每一張照片都能笑得像陽光一樣燦爛!
本文由香港兒童齒科專科黎曉芳醫生及醫務行政總監兼全科牙醫陳思昕共同撰寫









