諾倫一邊開腦一邊彈結他,演奏最近練習的曲目。(互聯網)
美國佛羅里達州結他手諾倫(Christian Nolen)罹患腦瘤須切除,為確保不傷及手部靈活,醫生替他做「清醒手術」,讓他一邊開腦一邊彈結他演奏,結果手術成功,他翌日就可出院。
為何要清醒開腦?
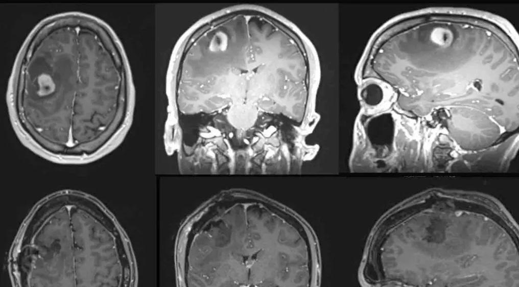
霍士新聞報道,諾倫某天注意到左邊身體不受控,尤其手部動作笨拙,影響到彈結他,其後確診患上右側前額葉腫瘤。邁亞密大學腦腫瘤醫生科莫塔爾(Dr. Ricardo Komotar)表示,諾倫須接受手術確認腫瘤類型及治療方式等,如果在清醒情況下一邊彈結他一邊動手術,可幫助醫生盡可能切除整處腫瘤的同時,更好地評估並確保他手部的靈活性。
手術期間的反應
諾倫在手術開始時接受麻醉,之後被喚醒,收到提示後開始彈奏。他事後回憶,「被喚醒後看見身邊的一切頓時不知所措,還要抗拒,想坐起身」。經醫護安撫後,他很快就想起要做些甚麼,此時「我只是呼吸並保持冷靜」,盡力演奏最近練習的幾首曲目。
諾倫形容手術「太瘋狂了」,最初聽到要一邊做手術一邊彈結他,覺得很驚訝,但想到彈結他對自己生命是何等重要,就相信這是更好的治療方法。
康復迅速
科莫塔爾大讚諾倫表現很好,手術第二天就可出院,之後更復原良好,至今已可以做gym。諾倫正等候病理學檢驗結果,之後可能要接受6星期的放射治療及化療。
醫生解構
科莫塔爾解釋,當腫瘤涉及或靠近大腦關鍵部位(即控制說話或理解語言,或活動能力的部位)時,如果進行清醒手術,醫療團隊透過持續監測病人,能確認是否破壞大腦功能,但若病人在麻醉狀態下,就無法獲得即時回應,「手術實際上會更加危險,因為你(醫生)可能切除一處涉及正常大腦功能的腫瘤,並在不知情下造成實質傷害」。
事實是,手術期間,團隊發現諾倫的腫瘤與控制手部動作的大腦部位有所接觸,幸好醫生最終能成功切除,並沒影響病人的手部運動能力。
Rock Star plays guitar to assist with his brain tumor resection. What song would you request? From @Ricardokomotar pic.twitter.com/MAq6bc8057
— Oren Gottfried, MD (@OGdukeneurosurg) January 10, 2024


















